
AI Coverage
about 4 hours ago
FDA Clears Plaque Assessment Software for Coronary CT Angiographyabout 7 hours ago
Top Five Radiology Content — October 2025Latest News

FDA Clears Plaque Assessment Software for Coronary CT Angiography

Top Five Radiology Content — October 2025

Emerging AI Software for CT Plaque Analysis ‘Revolutionizes’ Carotid Artery Assessment

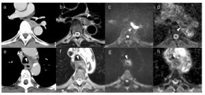
Does MRI Provide Better Staging of Esophageal Cancer than CT?

Ultrasound Renal Denervation System for Hypertension Garners CMS National Coverage Determination

Shorts






Podcasts
Videos
Continuing Medical Education
All News

In a retrospective analysis of triennial screening mammograms for 134,217 women, a deep learning model offered comparable assessment of interval breast cancer risk across differences in age and breast density.

The AI-enabled e-Lung software may lead to significantly improved and earlier detection of progressive pulmonary fibrosis, even in patients deemed clinically stable, according to new research recently presented at the American College of Chest Physicians (CHEST) conference.

While teleradiologists with flexible schedules may be the target of jealousy and vitriol on social media, the opportunities for improved work-life balance and increased flexibility are welcomed by others.

Offering real-time, high-resolution ultrasound imaging for a range of procedures, the zero-capex Intracardiac Imaging System reportedly facilitates workflow efficiencies and reduced costs.

New research on photon-counting computed tomography in 2025 reveals increasing capabilities of the technology to enhance CT visualization and characterization with significant reductions in radiation dosing in cardiovascular imaging, abdominal imaging and other diagnostic applications.

Catch up on the top radiology content of the past week.

Designed for use in saline contrast echocardiography, the ASI-02 modality is currently being evaluated in a multicenter, randomized trial for patients undergoing transthoracic echocardiography (TTE).

In a review of nearly 1,300 emergency referrals for computed tomography (CT) scans, approximately 28 percent were deemed to have adequate requisition quality according to a RI-RADS analysis.

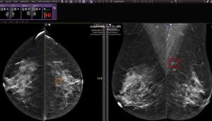
Noting an increased incidence of false negatives in screening and diagnostic mammography, researchers found that a personal history of breast cancer was associated with over a 3.6-fold higher likelihood of false negatives.

Use of the radiotherapeutic agent 177Lu-edotreotide (ITM-11) demonstrated significantly higher absorption in gastroenteropancreatic neuroendocrine tumors than normal organs along with a favorable safety profile, according to SPECT research recently presented at the European Association of Nuclear Medicine (EANM) conference.

Facilitating timely triage, the qER-CTA software enables AI assessment of the internal carotid artery and M1 segment of the middle cerebral artery for possible large vessel occlusions (LVOs).

Pre-op breast MRI was associated with a 12.5 percent reduced 5-year cumulative incidence of recurrence for patients who underwent surgery for hormone receptor-negative cancer, according to newly published research.

In a recent interview, Deepa Sheth, M.D., discussed the rising incidence of breast cancer, key considerations in supplemental imaging for women with dense breasts and use of the CIVIE RadPod platform to facilitate consistent quality and imaging reads by fellowship-trained breast radiologists.

Deep learning assessment of MRI offered a 24 percent higher sensitivity than radiologist interpretation for detecting lymph node metastasis in patients with colorectal cancer, according to a new meta-analysis.

Through the use of a multimodal system, Viz Assist provides generative AI summaries of patient histories that may ehance care coordination and facilitate more timely interventions.












































