
AI Coverage
18 days ago
Top Five Radiology Content — November 2025Latest News

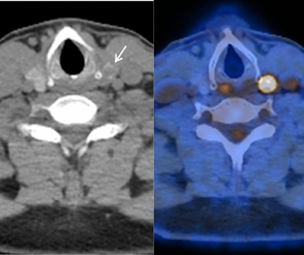
Can PET/CT Bolster Malignancy Detection with Thyroid Incidentalomas?

Emerging Insights and Perspectives on Remote MRI Safety: An Interview with Emanuel Kanal, MD

FDA Clears MRI DWI Sequence for Enhanced Stroke Detection

You Can’t Give Me Your Unhappiness: A Mantra for Radiologists in Addressing Negativity in Health Care

Diagnostic Imaging's Weekly Scan: December 7 — December 13

Shorts










Podcasts
Videos
All News

Catch up on the latest research and insights from Constance Lehman, M.D., Rajesh Bhayana, M.D., Stamatia Destounis, M.D., and more with Diagnostic Imaging interviews from the recent RSNA conference.

In a recent interview, Tyler Coombes, M.D., and Parth Patel, M.D., discussed recent research, presented at the RSNA conference, which suggested that quantitative evaluation of non-calcified plaque volume (NCPV) may offer significant utility for cardiovascular risk stratification.

For patients with systemic sclerosis, the combination of PCCT and automated Lung Texture Analysis (LTA) offered a higher AUC for detecting interstitial lung disease (ILD) at a 70 percent lower mean CT dose index than the pairing of EID-CT and LTA.

Whether it was a new advance in 3T MRI, emerging mammography-based AI technology, promising enterprise imaging platforms or new ultrasound devices, here is a recap of some of the product innovations launched or showcased at the annual RSNA conference.

In a recent interview, Layne Dylla, M.D. discussed key findings from a recent study that revealed a doubling of annual head CT scans in emergency department settings over a 15-year period.

Noting limitations of prostate MRI and advantages of PSMA PET/CT for detecting extraprostatic extension and lymph node involvement, researchers explored the potential utility of standalone PSMA PET/CT in prostate cancer staging in a review presented for the RSNA conference.

Reviewing an array of study presentations from the recent RSNA meeting, this author discusses insights from emerging research, ranging from the use of large language models (LLMs) in radiology reports to the potential impact of LLM assistance in differential diagnosis for brain MRIs.

In a recent interview at the RSNA conference, Rajesh Bhayana, M.D., discussed current research findings on the use of large language models (LLMs) in radiology and emerging LLMs that may have an impact.

Providing automated analysis of non-contrast head CT scans, the AI-enabled Scaida BrainCT-ICH software offers a specificity of 88.7 percent for intracranial hemorrhage detection with less than six seconds of processing time.

Don’t overreact, keep your options open and develop off-ramps so you’re prepared regardless of the changes to come with AI.

In a recent interview at the RSNA conference, Roland Rott shared his perspective on the planned acquisition of Intelerad by GE HealthCare along with insights on key synergies and future directions.

In a recent interview at the RSNA conference, Manisha Bahl, M.D., discussed new research examining the use of slab reconstruction technology with digital breast tomosynthesis (DBT), and its potential in reducing interpretation time and imaging volume.

In a recent interview at the RSNA conference, Talissa Altes, M.D., and Konstanze Diefenbach, M.D., discussed the potential utility and recent research findings on the use of the MRI contrast agent gadoquatrane for pediatric patients.

For men with a 1 μg/m3 increase in ten-year exposure to fine particulate matter, a common air pollutant, there was a 47 increased likelihood of moving to a higher CAD-RADS stenosis category, according to new coronary CT angiography research presented at the Radiological Society of North America (RSNA) conference.








































