
AI Coverage
about 1 hour ago
FDA Clears CT-Based AI Triage Platform from AidocLatest News

FDA Clears CT-Based AI Triage Platform from Aidoc

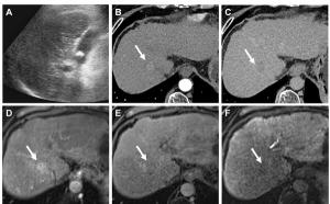
Multicenter Study Affirms Value of Updated AASLD Criteria for Surveillance of Hepatocellular Carcinoma

Current Perspectives on Digital Breast Tomosynthesis in Women with Dense Breasts

Breast MRI and High-Risk Lesions: What a New Meta-Analysis Reveals

The Move Toward More Comprehensive Screening with Computed Tomography: An Interview with David Yankelevitz, MD

Shorts










Podcasts
Videos
All News

Incorporating AI to reduce artifacts and bolster soft tissue contrast, the Elekta Evo CT-Linac system reportedly improves detection of tumors and organs-at-risk.

While some job offers may sound very tempting, savvy radiologists ask prospective employers to show more than the money in order to assess a potential jump for a new gig.

Catch up on a variety of new FDA clearances in radiology from the past week.

Catch up on the top radiology content of the past week.

Offering an echogenic cutting cannula and enhanced sampling capability, the EnCor EnCompass Breast Biopsy and Tissue Removal System reportedly enables biopsy procedures across different breast imaging platforms.

From satisfaction of search to grouped microcalcifications and challenges with isodense asymmetries and blind spots, the authors of a new review discuss contributing factors and preventive measures to avoid missed diagnoses of breast cancer in mammography interpretation.

In a recent interview, Rajesh Bhayana, M.D., discussed pertinent findings from a new study examining the use of the large language model GPT-4o in facilitating protocoling for abdominal and pelvic CT exams.

Offering a biocompatible, non-metallic alternative to metallic tumor markers, the VM1 tumor marker reportedly offers artifact-free visibility across a variety of breast imaging including mammography, ultrasound and MRI.

In what may be the largest study to assess digital breast tomosynthesis (DBT) screening of women with dense breasts, researchers noted only a 61.8 percent sensitivity for women with extremely dense breasts.

In a recent interview, Mina Makary, M.D., discussed recent research examining diversity within interventional radiology (IR), attrition rates in IR residency programs and potential strategies to bolster recruitment and retention.

After a causal mediation analysis that adjusted for breast density, researchers found that Black women had a significantly higher likelihood of high MRI-derived background parenchymal enhancement (BPE) than White women in a study involving nearly 2,500 women.

Offering compact versatility for an array of clinical settings, the ASUS Handheld Ultrasound LU800 is reportedly the first handheld device to be supported across Android, Chrome, iOS and Windows operating systems.

In a recent interview, Ron Blankstein, M.D., discussed insights from a recent consensus statement from the American College of Cardiology on AI-enabled plaque quantification with coronary computed tomography angiography (CCTA) exams, and other pertinent considerations with the emerging technology.

The AI-CVD software reportedly combines automated quantitative measurements for cardiovascular assessments such as coronary artery calcium (CAC) scoring and epicardial fat volumetry with lung attenuation and liver attenuation analysis in one CT-based AI platform.

Is the current OLA process a viable alternative for assessing our skills?









































