
|Slideshows|September 5, 2017
8-year-old, Neck Pain, Weak Limb
Author(s)Doaa Ibrahim Hasan, MD
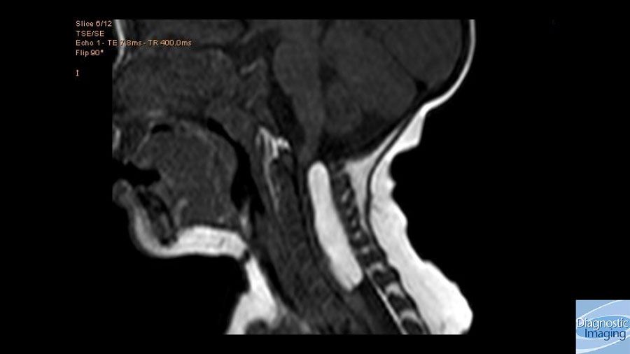
Case History: 8-year-old male with neck pain and right upper limb weakness for two months.
Advertisement
Case History: 8-year-old male presented with neck pain and right upper limb weakness for two months.
Newsletter
Stay at the forefront of radiology with the Diagnostic Imaging newsletter, delivering the latest news, clinical insights, and imaging advancements for today’s radiologists.
Advertisement
Latest CME
Advertisement
Advertisement






























