
AI Coverage
Latest News

What New CCTA Research Reveals About Quantitative Plaque Assessment and Predicting MACE

SPECT/CT Agent Garners FDA Fast Track Designation for Inflammation Assessment in Interstitial Lung Disease

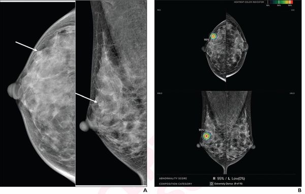
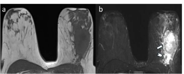
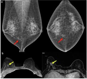
Mammography Study Assesses Ability of AI to Predict DCIS Recurrence After Breast Surgery

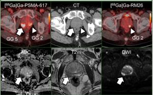
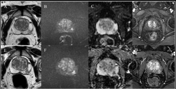
Molecular Imaging in Focus: Emerging Insights on the PET and SPECT Imaging Agent 61Cu-NU101 for PCa

The Inflection Point for AI in Radiology: Emerging Insights for 2026

Shorts










Podcasts
Videos
Continuing Medical Education
All News

Employing digital breast tomosynthesis for biopsy guidance facilitated significantly lower radiation dosing than digital mammography guidance with no difference in malignancy rates, according to new research involving over 1,600 patients.

In a recent interview, Benjamin Kann, M.D., discussed new research highlighting the capability of an AI foundation model to obtain a variety of diagnostic and prognostic data from brain MRI scans.

If you knew the daily level of challenges a radiology supervisor or manager encounters, would you still aspire to the role?

For the detection of lung cancer on low-dose CT, the eyonis LCS software reportedly offers greater than 90 percent sensitivity, specificity and negative predictive value (NPV).

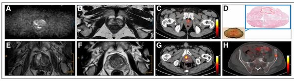
Researchers found that PSMA PET/CT offered 18 percent higher accuracy than mpMRI in detecting bilateral intraprostatic disease, according to a new study involving patients with intermediate or high-risk prostate cancer.

Catch up on the top radiology content of the past week.

Catch up on a variety of new FDA clearances in radiology from the past week.

Flagging DBT images that may warrant a more expedited review, the CogNet AI-MT+ platform can reportedly be integrated into existing IT systems to facilitate workflow efficiencies for radiologists.

In a recent interview from the International Stroke Conference, Jeremy Heit, M.D., Ph.D., discussed new research suggesting that AI may offer better assessment than neuroradiologists of aneurysm growth on computed tomography or magnetic resonance angiography scans.

The Ascent3T Neonatal Magnetic Resonance Imaging System is reportedly the first high-field 3T system geared to neonatal applications.

Wendie Berg, M.D., Stamatia Destounis, M.D., and Amy Patel, M.D., share their thoughts and perspectives on key findings from the Lancet mammography study on AI and interval breast cancer, and how they have incorporated AI into their practices.

A high SUVmean on PSMA PET imaging was associated with 95 more days of mean progression-free survival (PFS) in contrast to those with a low median SUVmean, according to a new study of patients with mCRPC treated with (225Ac)Ac-PSMA-I&T.

The CT-based RevealAI-Lung software reportedly offers a Malignancy Similarity Index score to facilitate evaluation of incidental lung nodules.

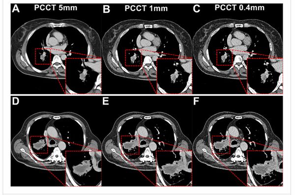
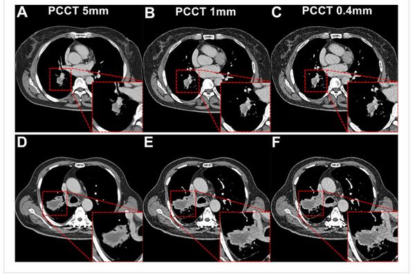
In addition to significantly reduced radiation dosing in comparison to energy-integrating detector CT (EID-CT), photon-counting CT provided higher detection of enhancement-related malignant features, according to new prospective research involving 200 patients with lung cancer.

The Brainomix 360 Stroke Next Generation software reportedly includes automated assessment of net water uptake (NWU), a CT-based biomarker that may improve risk stratification for patients with severe strokes.






























