
Molecular Imaging
Latest News
Latest Videos

Shorts



Podcasts
More News

Catch up on the most well-viewed video interviews from Diagnostic Imaging in November 2025.

Catch up on the most-well viewed radiology content in November 2025.

Utilizing the AI-enabled TrackPSMA to monitor the effectiveness of radioligand therapy for prostate cancer may allow more timely decisions to adjust treatment dosage or switch to a more effective modality.

The gallium-68 radiolabeled PET imaging agent ITM-94 is currently being evaluated in a phase 1/2 trial for its utility in detecting ccRCC and differentiating indeterminate renal masses.

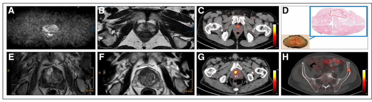
In a prospective study comparing PSMA PET/CT and mpMRI for biopsy- and imaging-naïve men with suspected prostate cancer (PCa), PSMA PET/CT led to altered management in 34 percent of confirmed cases of PCa.

In the second part of a recent interview on new molecular imaging guidelines for renal masses, Steven Rowe, M.D., discussed the off-label utility of the mitochondrial imaging agent 99mTc-sestamibi and the potential role of AI in advanced imaging for indeterminate renal masses.

In a new review from the European Society of Urogenital Radiology (ESUR), researchers discuss the merits and limitations of PSMA PET/CT and whole-body MRI (WB-MRI) for patients with advanced prostate cancer.

In a recent interview, Steven Rowe, M.D., discussed pertinent insights from recently published molecular imaging guidelines for renal masses and the potential of 89Zr-girentuximab for clear cell renal cell carcinoma (ccRCC).

Expanded capabilities for the Sirona Advanced Imaging Suite reportedly include quantitative SUV analysis and multiplanar reconstruction for PET/CT imaging.

Catch up on the most-well viewed prostate cancer imaging content in October 2025.

Catch up on the top radiology content of the past week.

Use of the radiotherapeutic agent 177Lu-edotreotide (ITM-11) demonstrated significantly higher absorption in gastroenteropancreatic neuroendocrine tumors than normal organs along with a favorable safety profile, according to SPECT research recently presented at the European Association of Nuclear Medicine (EANM) conference.

Pluvicto in combination with the standard of care led to a 28 percent reduction in the risk of radiographic progression or death in patients with metastatic hormone-sensitive prostate cancer (mHSPC), according to results from the phase III PSMAddition trial presented at the European Society for Medical Oncology (ESMO) conference.

Catch up on the top radiology content of the past week.

In the second part of a recent interview, Emmanuel S. Antonarakis, M.D. discusses PSMA PET agents in current trials and cell surface proteins that may offer targeting utility in prostate cancer imaging beyond PSMA.

In the 160-patient study comparing 18F-PSMA 1007 PET/CT and 18F-NaF PET/CT, the use of 18F-PSMA PET/CT led to 38 patients being restaged as having more advanced prostate cancer.

Catch up on the top radiology content of the past week.

In a recent interview, Emmanuel S. Antonarakis, M.D. discussed contributing factors to the recent American Cancer Society report about rising prostate cancer incidence and offered insights about the potential role of the radioligand agent 177Lu-PSMA-I&T for patients with mCRPC.

Catch up on the most-well viewed radiology content in September 2025.

Catch up on the top radiology content of the past week.

The combination of digital breast tomosynthesis (DBT) and molecular breast imaging (MBI) offered more than double the detection of invasive breast cancer with DBT in the first year of screening, according to a prospective study of nearly 3,000 women with dense breasts.

PSMA PET offered 18 percent higher accuracy for detecting biochemical recurrence of PCa in contrast to mpMRI, according to findings from a 67-study meta-analysis.

Catch up on the top radiology content of the past week.

Issued by multiple societies, including the Society of Nuclear Medicine and Molecular Imaging (SNMMI), the new guidelines for utilizing 18F-flurpiridaz-PET myocardial perfusion imaging (MPI) offer insights on proper patient selection, appropriate protocols and salient keys for image interpretation.

Preliminary research findings have shown that the investigational anti-microtubule binding region (MTBR) tau antibody etalanetug may help reduce a biomarker for brain tau pathophysiology and tau signals on positron emission tomography (PET).

































