
MRI
Latest News
Latest Videos

Shorts







Podcasts
CME Content
More News

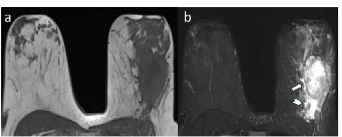
In a seven study meta-analysis with a total of 493 cases involving high-risk breast lesions, researchers found that contrast-enhanced breast MRI did not miss any cases of invasive breast cancer.

Catch up on a variety of new FDA clearances in radiology from the past week.

Offering an echogenic cutting cannula and enhanced sampling capability, the EnCor EnCompass Breast Biopsy and Tissue Removal System reportedly enables biopsy procedures across different breast imaging platforms.

After a causal mediation analysis that adjusted for breast density, researchers found that Black women had a significantly higher likelihood of high MRI-derived background parenchymal enhancement (BPE) than White women in a study involving nearly 2,500 women.

For patients with triple-negative breast cancer being treated with neoadjuvant chemotherapy and immunotherapy, MRI demonstrated a 94.3 percent sensitivity for predicting pathologic complete response, according to a new study.

In addition to offering a variety of AI features, the Magnetom Flow 1.5T MRI system reportedly facilitates a 56 percent reduction in annual energy consumption in comparison to previous MRI scanners.

Employing a 77-second scan time for obtaining ultrafast breast MRI views, researchers found a 92.1 percent AUC for differentiating between benign and malignant lesions, according to new prospective study.

Catch up on the most well-viewed MRI content from 2025.

Catch up on the most well-viewed radiology content from 2025.

The cloud-based Brain Mets software reportedly provides accelerated detection, measurement and tracking of metastatic brain lesions based on routine brain MRI sequences.

Catch up on the most well-viewed prostate cancer imaging content from 2025.

Catch up on the most well-viewed video interviews from 2025.

The multi-directional diffusion-weighted imaging (DWI) sequence reportedly bolsters small stroke detection and infarct differentiation for portable MRI of the brain.

Catch up on the most-well viewed radiology content in November 2025.

Catch up on the top AI-related news and research in radiology over the past month.

For T3-T4 rectal cancer staging, a new study showed that optimal photon-counting CT offered an AUC range between 80 and 86 percent in comparison to an AUC range between 78 and 88 percent for rectal MRI.

Incorporating mpMRI radiomics, clinical characteristics, deep learning and pathomic features, a multimodal model offered 82 percent and 87 percent AUCs for predicting overall survival outcomes at five years and seven years, respectively, for women treated with neoadjuvant chemotherapy for breast cancer.

Catch up on the top radiology content of the past week.

Multivariable analysis from a new study revealed that those with low right ventricular global longitudinal strain were 16 percent more likely to suffer heart failure.

Fan reaction to significant defeats of a soccer team was linked to lower activation of the dorsal anterior cingulate cortex and deactivation of the salience network, which may lead to changes with emotional regulation and cognitive control, according to new brain MRI research.

Catch up on the top radiology content of the past week.

In a new review from the European Society of Urogenital Radiology (ESUR), researchers discuss the merits and limitations of PSMA PET/CT and whole-body MRI (WB-MRI) for patients with advanced prostate cancer.

Researchers found no statistically significant differences between bpMRI and mpMRI evaluations of patients with PI-RADS 3 presentations, according to a new multi-reader study.

Ultrasound-derived fat fraction assessment offered higher AUCs for differentiating mild, moderate and severe hepatic steatosis in comparison to established noninvasive measures of metabolic dysfunction-associated steatosis liver disease (MASLD), according to new multicenter research.

Catch up on the top radiology content of the past week.




















