
Mammography
Latest News


Leading Breast Radiologists Discuss the Recent Lancet Study on AI and Interval Breast Cancer
Latest Videos

Shorts





Podcasts
CME Content
More News

Catch up on the most well-viewed video interviews from Diagnostic Imaging in January 2026.

Catch up on a variety of new FDA clearances in radiology from the past week.

Offering an echogenic cutting cannula and enhanced sampling capability, the EnCor EnCompass Breast Biopsy and Tissue Removal System reportedly enables biopsy procedures across different breast imaging platforms.

From satisfaction of search to grouped microcalcifications and challenges with isodense asymmetries and blind spots, the authors of a new review discuss contributing factors and preventive measures to avoid missed diagnoses of breast cancer in mammography interpretation.

In what may be the largest study to assess digital breast tomosynthesis (DBT) screening of women with dense breasts, researchers noted only a 61.8 percent sensitivity for women with extremely dense breasts.

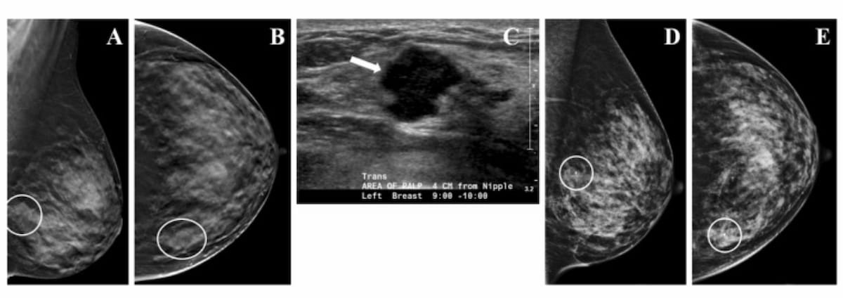
The use of contrast-enhanced mammography in nearly 200 cases of screening recalls yielded a 96.1 percent per-breast sensitivity rate and a 99 percent negative predictive value.

Catch up on the most well-viewed video interviews in December 2025.

Catch up on the most well-viewed mammography content from 2025.

Catch up on the top AI-related news and research in radiology over the past month.

In addition to advanced mammography image processing and integrated MQSA tracking, the MammoIQ system enables viewing of adjunctive modalities including MRI, ultrasound and PET imaging.

Catch up on the most well-viewed video interviews from 2025.

Catch up on the top radiology content of the past week.

The Breast Suite software reportedly provides automated localization of regions of interest on mammograms as well as AI-enabled assessments of breast density and stratification of breast cancer risk for up to two years.

Catch up on the most well-viewed video interviews from Diagnostic Imaging in November 2025.

The combination of deep learning and iterative reconstruction with Pristina Recon DL may enhance image quality with digital breast tomosynthesis.

Catch up on the top AI-related news and research in radiology over the past month.

Catch up on the top radiology content of the past week.

The use of radiomics for mammography may help predict the development of occult invasive cancer in women with ductal carcinoma in situ (DCIS), according to a new study.

In a recent interview, Christoph Lee, M.D., discussed key findings from the ASSURE study, which evaluated the use of AI in detection and triage in a multicenter trial involving over 579,000 women who had digital breast tomosynthesis (DBT) exams.

Catch up on the top radiology content of the past week.

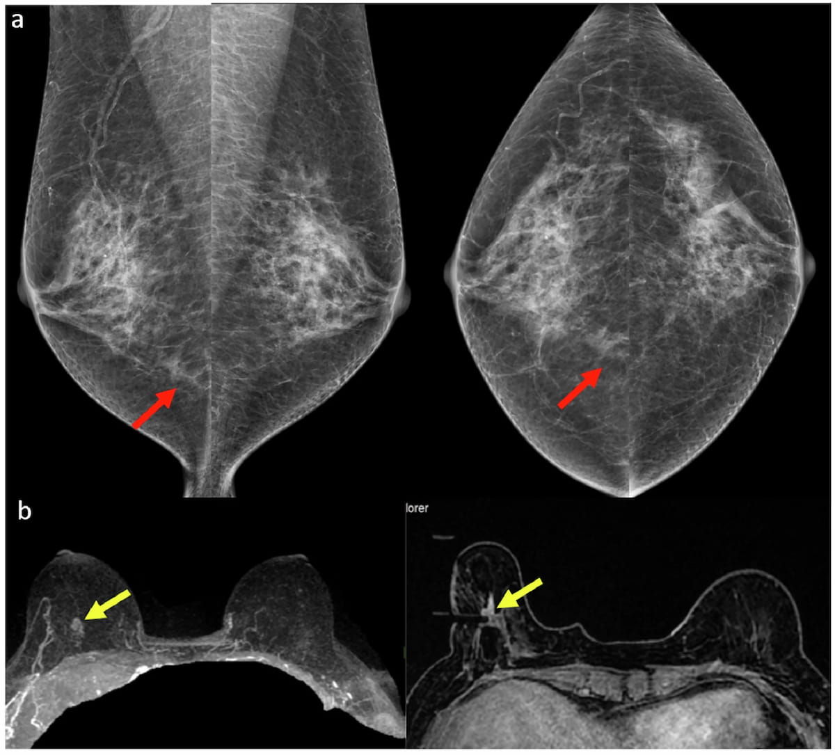
Contrast-enhanced mammography demonstrated a 95 percent specificity rate and 83.5 percent positive predictive value for ascertaining pathologic nipple involvement, according to a new multicenter study.

Catch up on the top radiology content of the past week.

Catch up on the most well-viewed breast imaging content in October 2025.

Catch up on the most-well viewed radiology content in October 2025.

In a retrospective analysis of triennial screening mammograms for 134,217 women, a deep learning model offered comparable assessment of interval breast cancer risk across differences in age and breast density.























