
X-Ray
Latest News
Latest Videos

Podcasts
CME Content
More News

Catch up on the most-well viewed radiology content in April 2025.

The Nanox.ARC X system reportedly provides enhanced 3D imaging for a variety of indications, ranging from pulmonary imaging and intra-abdominal views to musculoskeletal assessment.

Artificial intelligence (AI) software demonstrated a 92 percent sensitivity for detecting fractures in a study involving over 1,600 X-rays from a tertiary pediatric emergency department.

In a review of over 1,630,000 office-based non-breast imaging Medicare fee-for-service (FFS) claims from 2022, researchers found that 39.5 percent of nuclear medicine imaging were interpreted by ordering clinicians.

The AI-powered AZchest CXR software reportedly offers 93.79 percent sensitivity and a 98.57 percent AUC for pneumothorax.

Catch up on the most-well viewed radiology content in March 2025.

Catch up on the top AI-related news and research in radiology over the past month.

Adjunctive use of the AI-powered software led to an average 38.6 percent increase in the detection of pneumothorax by general radiologists, according to a 2023 study.
Indicated for IV use, Gvoke VialDx reportedly inhibits movement of the gastrointestinal tract temporarily to facilitate abdominal X-rays.

Catch up on the top radiology content of the past week.

Enabling radiographic and low-dose fluoroscopy exams in the same room, the Adora DRFi system emphasizes a variety of advances for flexibility with patient positioning.

In addition to a significant reduction of X-ray reading time, researchers found the use of multimodal generative AI assessment led to enhanced detection of pleural lesions and widened mediastinal silhouettes.

Do we get mired in the rut of generational grumbling, or do we reframe resentments into perspective of what we have overcome?

The Nanox.ARC X-ray system, which offers 3D tomosynthesis capabilities, can now be utilized for pulmonary, intra-abdominal and paranasal imaging.

Catch up on the top radiology content of the past week.

Catch up on the top radiology content of the past week.

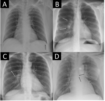
For clinically actionable pneumothorax, an artificial intelligence algorithm demonstrated a 93 percent AUC and a 96 percent specificity rate in a study involving chest X-rays from over 27,000 adults.

Catch up on the top AI-related news and research in radiology over the past month.

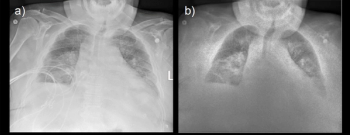
The use of a portable dual-energy X-ray detector in the ICU at one community hospital reportedly facilitated a 37.5 percent decrease in chest CT exams in comparison to the previous three months, according to research presented at the American Society of Emergency Radiology (ASER) meeting in Washington, D.C.

The AI-enabled software Rayvolve reportedly demonstrated a 96 percent sensitivity rate for diagnosing pediatric fractures in a recent study involving 3,000 patients.

Catch up on the top AI-related news and research in radiology over the past month.

Catch up on the top radiology content of the past week.

New research suggests the use of an AI software may help rule out pathology on over 50 percent of unremarkable chest X-rays with a 98 percent sensitivity threshold.

At a 90 percent threshold for sensitivity, Lunit’s Insight CXR and the Nexus CXR software from Nexus demonstrated the highest specificity rates for tuberculosis (TB) detection in a patient population with a high prevalence of TB and HIV.

Review the case and test your knowledge to make the correct diagnosis.












































