With reported increases in tuberculosis cases after the COVID-19 pandemic, the qSpot-TB adjunctive artificial intelligence (AI) device may facilitate improved diagnosis of the disease on chest X-rays.
The Food and Drug Administration (FDA) has granted breakthrough device designation to qSpot-TB, an artificial intelligence (AI)-powered device, which may enhance tuberlosis (TB) detection on chest X-rays.
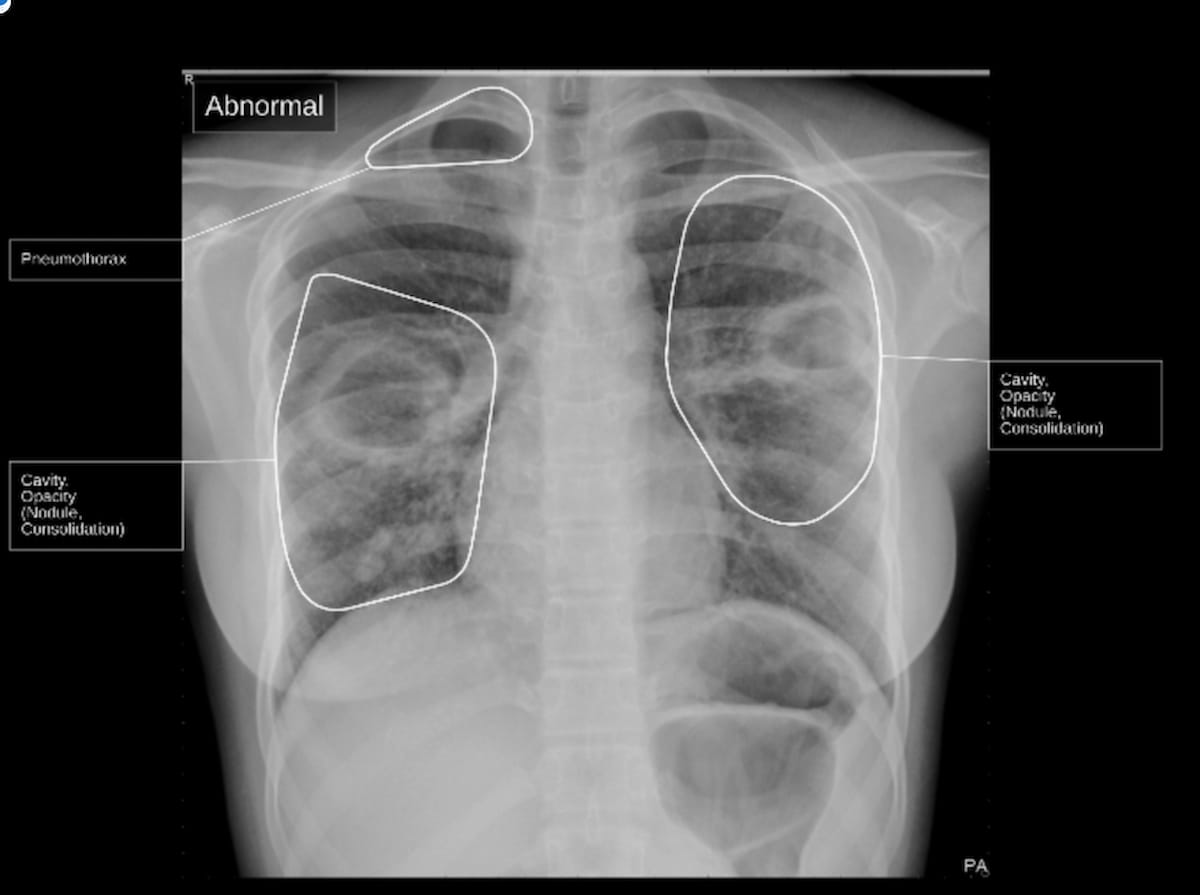
Qure.ai, the developer of qSpot-TB, said the device localizes signs of TB on chest X-rays and provides a conclusion of whether TB is present or not.
The emergence of the qSpot-TB device is particularly timely, according to the company, given statistics from the Centers for Disease Control and Prevention (CDC) showing 8,300 reported TB cases in 2022.
The qSpot-TB device, which recently garnered a breakthrough device designation from the FDA, localizes signs of TB on chest X-rays, and provides a conclusion of whether TB is present or not, according to Qure.ai, the developer of qSpot-TB. (Image courtesy of Qure.ai)

"The increase in TB cases in USA is a reminder about the importance of collective global efforts to continue the fight against the disease until eliminated. We cannot let our guard down. Innovative technology is a crucial component for accelerated progress to successfully end TB globally,” said Professor Kenneth G. Castro, M.D., a co-director of the Emory Tuberculosis Center, and professor of global health, epidemiology, and infectious disease with the Rollins School of Public Health at Emory University.
Study Finds High Concordance Between AI and Radiologists for Cervical Spine Fractures on CT
May 6th 2024Researchers found a 98.3 percent concordance between attending radiology reports and AI assessments for possible cervical spine fractures on CT, according to new research presented at the 2024 ARRS Annual Meeting.
FDA Clears AI-Powered Qualitative Perfusion Mapping for Cone-Beam CT
May 6th 2024Reportedly validated in more than 10 clinical trials, the AngioFlow perfusion imaging software enables timely identification of brain regions with cerebral blood flow reduction and those with significant hypoperfusion.