Convolutional neural network can rapidly detect large vessel occlusions present in most ischemic strokes.
Radiologists can use a deep learning model with CT angiography scans to quickly identify large vessel occlusions (LVO), the clots that block oxygen to the brain during the most common type of stroke, potentially accelerating treatment when minutes matter most.
On average, patients who experience LVOs lose, on average, 1.9 million neurons per minute. Currently, CT angiography (CTA) is the gold standard for detecting these blockages. The three-minute test provides detailed views of the blood vessels, and radiologists do an excellent job of interpreting the scans, said a research team led by Matthew T. Stib, M.D., a radiology resident at the Warren Alpert Medical School at Brown University, in an article published Sept. 29 in Radiology. But, an experienced provider is not always available – either because of location or time of day – to read the scan, putting patient outcomes in danger.
“Minutes matter in this time-sensitive diagnosis,” Stib said. “Every minute that we reduce the time to re-canalization extends the patient’s disability-free life by a week.”
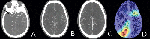
Axial maximum intensity projection images and a heat map in a 60-year old man who presented to the emergency department with new onset left-sided weakness. A, Arterial (phase 1) image shows an abrupt occlusion of the distal M1 branch of the right middle cerebral artery (arrow) with paucity of distal vasculature. B, Venous (phase 2) image shows subtle asymmetry with minimal increased vascularity in the contralateral left hemisphere. C, Late venous (phase 3) image shows prominent increased opacification of the ipsilateral right hemispheric vasculature downstream from the occlusion. D, Heat map shows the most discriminative region (red) that the model used for the correct prediction. Courtesy: Radiology

That is why having a reliable artificial intelligence tool that can identify these LVOs is critical, said Johanna M. Ospel M.D., a radiology resident at the University of Basel in Switzerland and Mayank Goyal, M.D., Ph.D., director of imaging and endovascular treatment in the Calgary Stroke Program in Canada, in an accompanying editorial.
Related Content: COVID-19 Patients Face Greater Than Two-Times Risk for Large Vessel Occlusion Stroke
“It is of utmost importance to have a reliable way to detect LVOs as fast as possible to initiate treatment,” they wrote. “Artificial intelligence-based LVO detection could help to facilitate and streamline image interpretation.”
To reach this goal, Stib’s team collaborated with Brown’s computer science department to create a deep learning model from the ground up that was capable of rapidly – and accurately – detecting LVOs on CTA. The goal was not only to diagnose patients, but to also reduce their time-to-treatment.
Images show four separate patients with large vessel occlusions correctly predicted by the algorithm. The top row shows a representative CT slice from the delayed venous phase CT angiography. The middle row shows the preprocessed maximum intensity projection images that function as the input to the model. The bottom row are overlaid heat maps, with areas in red showing the most discriminative regions. Notice these so-called hot regions correlate with the occlusion location (respectively: left [L] M2, L M1, right [R] M2, basilar) in each patient. Courtesy: Radiology

In a multi-center retrospective study, the team evaluated CTA scans from 540 adults for their total data set who were suspected of experiencing acute ischemic stroke between February 2017 and June 2018. Of the group, 270 were confirmed for stroke, and 270 were confirmed negative for stroke. They used these scans to train their algorithm to recognize the appearance of LVOs and differentiate it from other conditions.
As part of pre-processing the team included the creation of maximum intensity project images that emphasized the contrast-enhanced vasculature, and they conducted seven experiments using a combination of the three phases of CTA – arterial, peak venous, and late venous. This approach is more comprehensive that single-phase CTA, they said.
For their test set, the team included 62 patients with an average age of nearly 70 years. Based on their analysis, when all three phases were used together, the model picked up all 31 LVOs, achieving 100-percent sensitivity, compared to the 24 LVOs (77-percent sensitivity) caught on single-phase CTA. The model's area under the curve was 0.89 – an outcome Ospel and Goyal said constitutes a considerable improvement over most single-phase CTA detection algorithms.
“These results are quite promising,” said Stib, noting this is the first time multi-phase CTA has been used to look at occlusions in the front of the head and neck, as well as the back. “We really wanted to optimize the sensitivity of the model so that we were sure that we picked up every single case because missing a case has pretty dire consequences.”
Not much has been written about posterior circulation occlusions, he said, but being able to identify them is critical because they can cause significant clinical consequences if they are overlooked.
By using a multi-phase approached, Ospel and Goyal said Stib’s team hit the sweet spot for LVO detection – their model has enough information to allow for accurate and reliable LVO detection, but not so much that it creates too much noise.
“Their results suggest that three imaging points (i.e., the three multi-phase CT angiography phases) are sufficient for reliable LVO detection and give reason to hope that artificial intelligence-based LVO detection will find its way into clinical routine soon,” they said. “These tools could, then, help to prioritize worklists by indicating to the radiologists which scans in the worklist are likely to contain an LVO, and they could serve as a diagnostic aid, particularly for readers with limited experience in stroke imaging.”
The tool’s success with LVO, they said, potentially opens the door for similar success with medium vessel occlusion strokes even though the high sensitivity needed for such algorithms would be challenging due to their more distal location. But, these blockages are frequently overlooked by human readers, they added, making the development of an effective detection algorithm a matter of great clinical importance.
But, for now, Stib said, the goal is to continue validating their results with the algorithm in real time in the hopes it can improve patient outcomes. If their results are reproducible, he said, the algorithm could be a valuable arrow in the quiver for hospital and medical centers that do not currently have the expert resources available to interpret LVO CTA images.
“This algorithm is not replacing the ability of radiologists to do their job; rather it’s trying to speed up the time to diagnosis,” Stib explained. “So, if the radiologist isn’t around or there is a large workflow that is preventing someone from looking at the exam results quickly, there will be an alert that says an occlusion may be present and someone should look at this.”
Stay at the forefront of radiology with the Diagnostic Imaging newsletter, delivering the latest news, clinical insights, and imaging advancements for today’s radiologists.