
|Slideshows|August 30, 2016
Cough, Breathlessness
Author(s)Harpreet Singh, MD
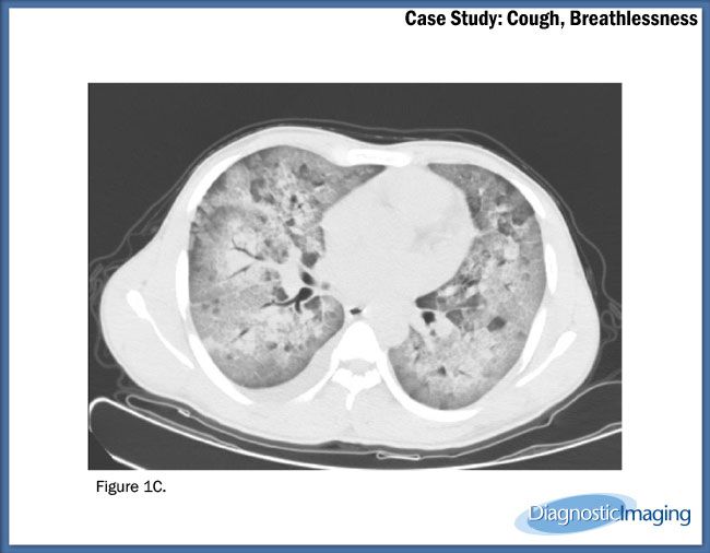
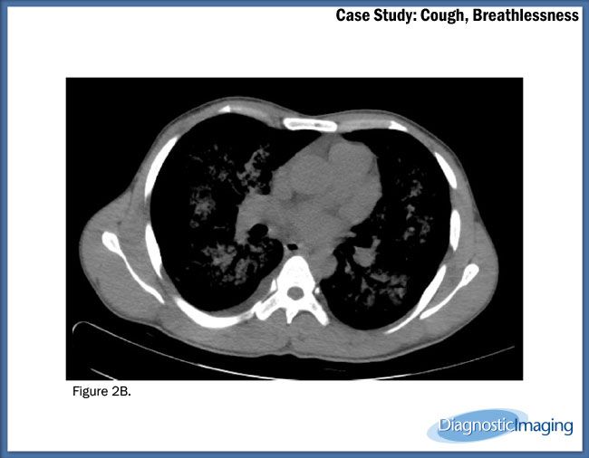
Case History: 22-year-old patient presents with cough and breathlessness.
Advertisement
Case History: 22-year-old patient presents with cough and breathlessness.
Newsletter
Stay at the forefront of radiology with the Diagnostic Imaging newsletter, delivering the latest news, clinical insights, and imaging advancements for today’s radiologists.
Advertisement
Latest CME
Advertisement
Advertisement
Trending on Diagnostic Imaging
1
New Imaging Platform Allows Single-Integration Access to Multiple AI Vendors
2
Is bpMRI Sufficient for Assessing PI-RADS 3 Lesions?
3
Can Contrast-Enhanced Mammography Offer a Viable Option for Pre-Op Assessment of Pathologic Nipple Involvement?
4
Fujifilm Sonosite Unveils Next-Generation Point-of-Care Ultrasound Device
5






























