CT-Based Risk Scoring System Outperforms AJCC TNM Staging for Predicting Recurrence of Pancreatic Ductal Adenocarcinoma

News
Article

In comparison to American Joint Committee on Cancer (AJCC) TNM staging, an emerging CT-based scoring system for assessing early recurrence of pancreatic ductal adenocarcinoma demonstrated over a 22 percent higher AUC in testing and external validation cohorts in a new study.

For patients who undergo radical resection for pancreatic ductal adenocarcinoma (PDAC), a new computed tomography (CT)-based early recurrence scoring (ERS) system may provide significantly enhanced prediction of post-op recurrence in comparison to traditional staging with the American Joint Committee on Cancer (AJCC) Tumor, Node, Metastasis (TNM) system.

In a new multicenter retrospective study, recently published in European Radiology, researchers developed and compared the ERS system versus AJCC TNM staging in a total cohort of 333 patients who had radical resection for resectable PDAC. In addition to the CA 19-9 blood test, the ERS system incorporated CT assessments for perineural invasion, tumor necrosis and lymph node metastasis that demonstrated 1.83, 3.20 and 1.84 hazard ratios (HRs), respectively for PDAC recurrence at < one year post-op, according to the study.

In a testing cohort of 92 patients (mean age of 60), the study authors found a 22.1 percent higher AUC than the AJCC TNM system for predicting early PDAC recurrence (85.1 percent vs. 63 percent) and a 36.7 percent higher AUC in the 31-patient external validation cohort (90.1 percent vs. 53.4 percent).

CT-Based Risk Scoring System Outperforms AJCC TNM Staging for Predicting Recurrence of Pancreatic Ductal Adenocarcinoma

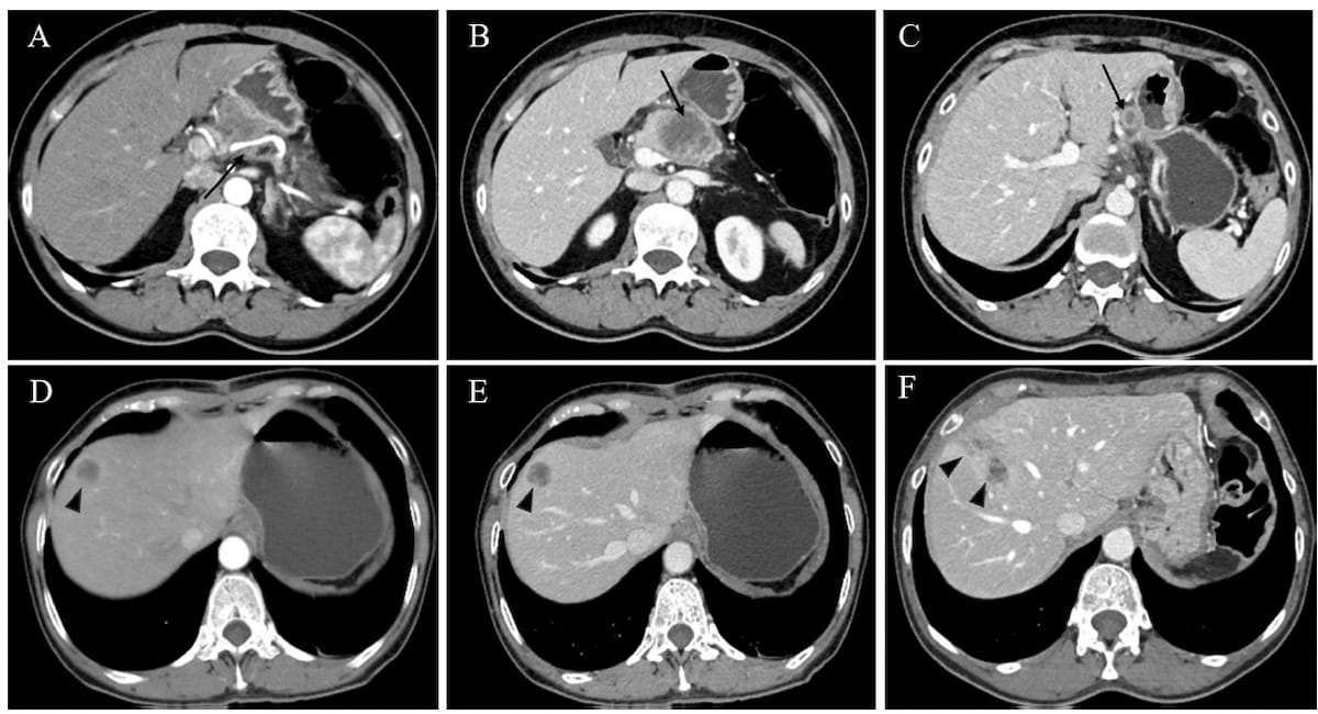
Here one can see preoperative (A-C) and postoperative CT images(D-F) for a 63-year-old woman, who had an early recurrence score (ERS) of 45 as per an emerging risk stratification system for predicting recurrence of pancreatic ductal adenocarcinoma after radical resection. Post-op CT images acquired at 63 days (E) and 155 days (F) reveal the development and growth of hepatic metastases. (Images courtesy of European Radiology.)

“ … We developed an easily usable and reproducible ERS score to predict ER after radical resection of PDAC, which was internally and externally validated and outperformed the widely adopted AJCC TNM staging system,” wrote lead study author Yan Deng, M.D., who is affiliated with the Department of Radiology at the West China Hospital and Sichuan University in Chengdu, China, and colleagues, and colleagues.

The researchers pointed out that patients with high-risk ERS scores ( > 17) had greater than 50 percent higher post-op PDAC recurrence rates than those with low-risk ERS scores (< 17) in the testing cohort (81.4 percent vs. 22.5 percent) and the external validation cohort (81.2 percent vs. 26.7 percent).

Three Key Takeaways

1. Enhanced early recurrence prediction. The CT-based early recurrence scoring (ERS) system significantly outperformed the traditional AJCC TNM staging system in predicting early post-operative recurrence in PDAC patients, showing markedly higher AUC values in both testing and validation cohorts.

2. High-risk ERS stratification is clinically informative. Patients with high-risk ERS scores (≥17) had substantially higher recurrence rates and were more likely to exhibit aggressive pathological features such as lymphovascular invasion, poor tumor differentiation, and lymph node metastasis.

3. Potential role in treatment planning. The ERS system may guide clinical decision-making by identifying patients who could benefit more from neoadjuvant therapy rather than immediate radical surgery, potentially improving personalized treatment strategies in PDAC.

Patients at high-risk of early PDAC recurrence had a 15.6 percent higher incidence of lymphovascular invasion (LVI), a 17.1 percent higher prevalence of 3/4 grade tumor differentiation and an 18.4 percent higher rate of lymph node positivity, according to the study authors.

“This scoring system has certain clinical application value in predicting ER after radical resection and selecting optimal patients for radical resection. Neoadjuvant therapy may be a more reasonable choice for patients with a high risk of ER (ERS ≥ 17),” noted Deng and colleagues. “Specifically, in the present study, high-risk patients predicted by ERS were more likely to have poor differentiation, lymph node metastasis, LVI, and worse (recurrence-free survival).”

(Editor’s note: For related content, see “Predicting Diabetes on CT Scans: What New Research Reveals with Pancreatic Imaging Biomarkers,” “FDA Grants Breakthrough Device Designation for Emerging High-Intensity Focused Ultrasound Treatment of Pancreatic Cancer” and “New Study Identifies Key Computed Tomography Findings for Post-Op Recurrence of Pancreatic Cancer.”)

In regard to study limitations, the authors acknowledged the potential for bias with the retrospective study design, the small cohort for external validation, poor consistency with lymph node metastasis assessment on CT and a lack of uniform treatment regimens for patients receiving adjuvant therapy.

Newsletter

Stay at the forefront of radiology with the Diagnostic Imaging newsletter, delivering the latest news, clinical insights, and imaging advancements for today’s radiologists.

Recent Videos
Diagnostic Imaging’s Weekly Scan: September 28 — October 4
Diagnostic Imaging's Weekly Scan: September 21 — September 27
CT Radiation Exposure and Hematologic Cancers in Children: An Interview with Rebecca Smith-Bindman, MD
© 2025 MJH Life Sciences

All rights reserved.