
|Slideshows|September 19, 2017
Enlarged Cervical Lymph Nodes
Author(s)Doaa Ibrahim Hasan, MD
Case History: 24-year-old male with enlarged cervical lymph nodes associated with weight loss and fever.
Advertisement
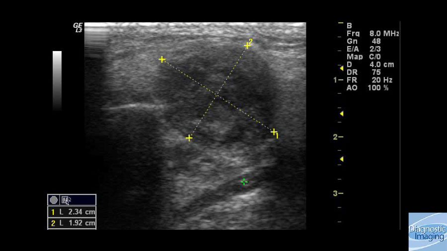
Case History: 24-year-old male presented with nontender, enlarged cervical lymph nodes associated with weight loss and fever.
Newsletter
Stay at the forefront of radiology with the Diagnostic Imaging newsletter, delivering the latest news, clinical insights, and imaging advancements for today’s radiologists.
Advertisement
Latest CME
Advertisement
Advertisement
Trending on Diagnostic Imaging
1
New Imaging Platform Allows Single-Integration Access to Multiple AI Vendors
2
Is bpMRI Sufficient for Assessing PI-RADS 3 Lesions?
3
Can Contrast-Enhanced Mammography Offer a Viable Option for Pre-Op Assessment of Pathologic Nipple Involvement?
4
Fujifilm Sonosite Unveils Next-Generation Point-of-Care Ultrasound Device
5






























