FDA Clears Gleamer’s ChestView AI Software for CXR
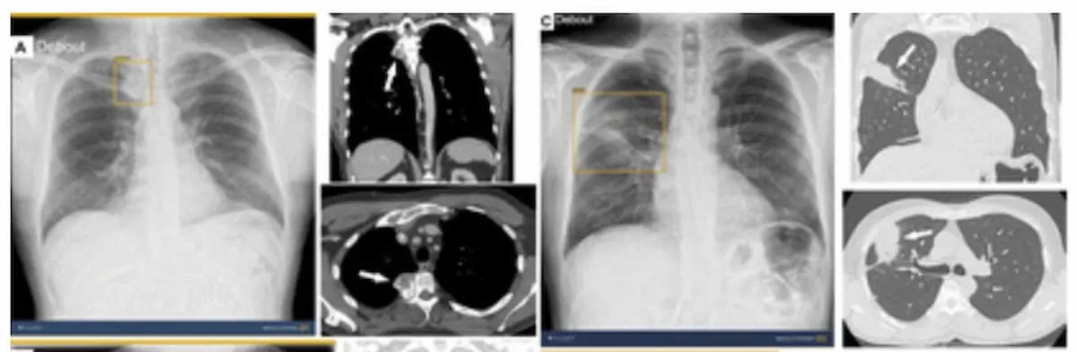
Adjunctive use of the AI-powered software led to an average 38.6 percent increase in the detection of pneumothorax by general radiologists, according to a 2023 study.
The Food and Drug Administration (FDA) has granted 510(k) clearance for ChestView, an artificial intelligence (AI)-enabled software, which may enhance detection of a variety of abnormalities on chest X-rays (CXRs).
In a
The authors of the study, published in
"We believe
Newsletter
Stay at the forefront of radiology with the Diagnostic Imaging newsletter, delivering the latest news, clinical insights, and imaging advancements for today’s radiologists.






























