
|Articles|July 22, 2021
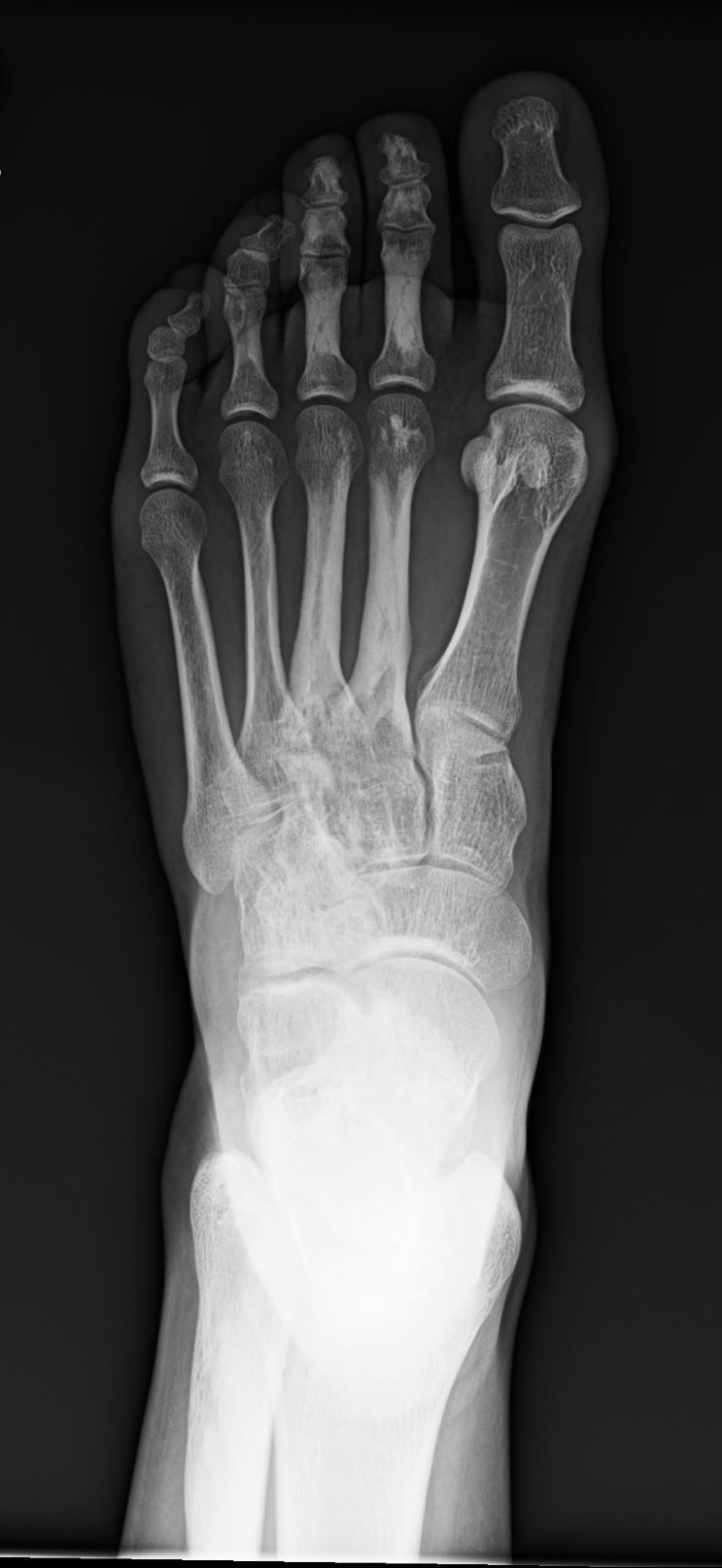
Image IQ Quiz: 20-Year-Old Female with Chronic Foot Pain
Author(s)Edwin Chu, M.D.
20-year-old female with chronic dorsal foot pain. What most likely represents the imaging finding?
Advertisement
.
Case submitted by
For more coverage based on industry expert insights and research, subscribe to the Diagnostic Imaging e-Newsletter
What is your diagnosis?
What is your diagnosis?
Newsletter
Stay at the forefront of radiology with the Diagnostic Imaging newsletter, delivering the latest news, clinical insights, and imaging advancements for today’s radiologists.
Advertisement
Latest CME
Advertisement
Advertisement






























