
|Articles|February 3, 2022
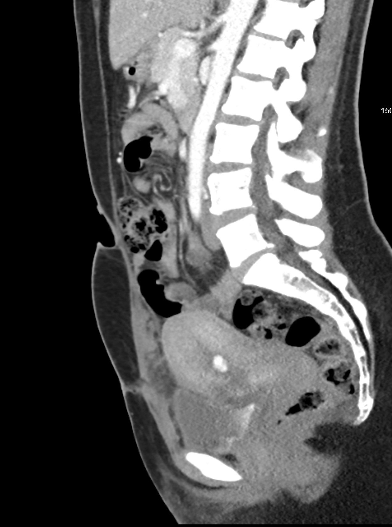
Image IQ Quiz: 35-Year-Old Woman with Postpartum Vaginal Bleeding
Author(s)Soham Shah, M.D.
What is your diagnosis?
Advertisement
Case submitted by Soham Shah, M.D. on behalf of
A 35-year-old female is two weeks postpartum after a caesarean section delivery. She presented to the emergency room with sudden brisk vaginal bleeding. What is the most likely diagnosis?
Newsletter
Stay at the forefront of radiology with the Diagnostic Imaging newsletter, delivering the latest news, clinical insights, and imaging advancements for today’s radiologists.
Advertisement
Latest CME
Advertisement
Advertisement
Trending on Diagnostic Imaging
1
Nine Takeaways from New Review of PSMA PET/CT and Whole-Body MRI for Advanced Prostate Cancer
2
A Closer Look at New Guidelines for Molecular Imaging of Renal Masses: An Interview with Steven Rowe, MD, Part 2
3
New Imaging Platform Allows Single-Integration Access to Multiple AI Vendors
4






























