
|Articles|April 14, 2021
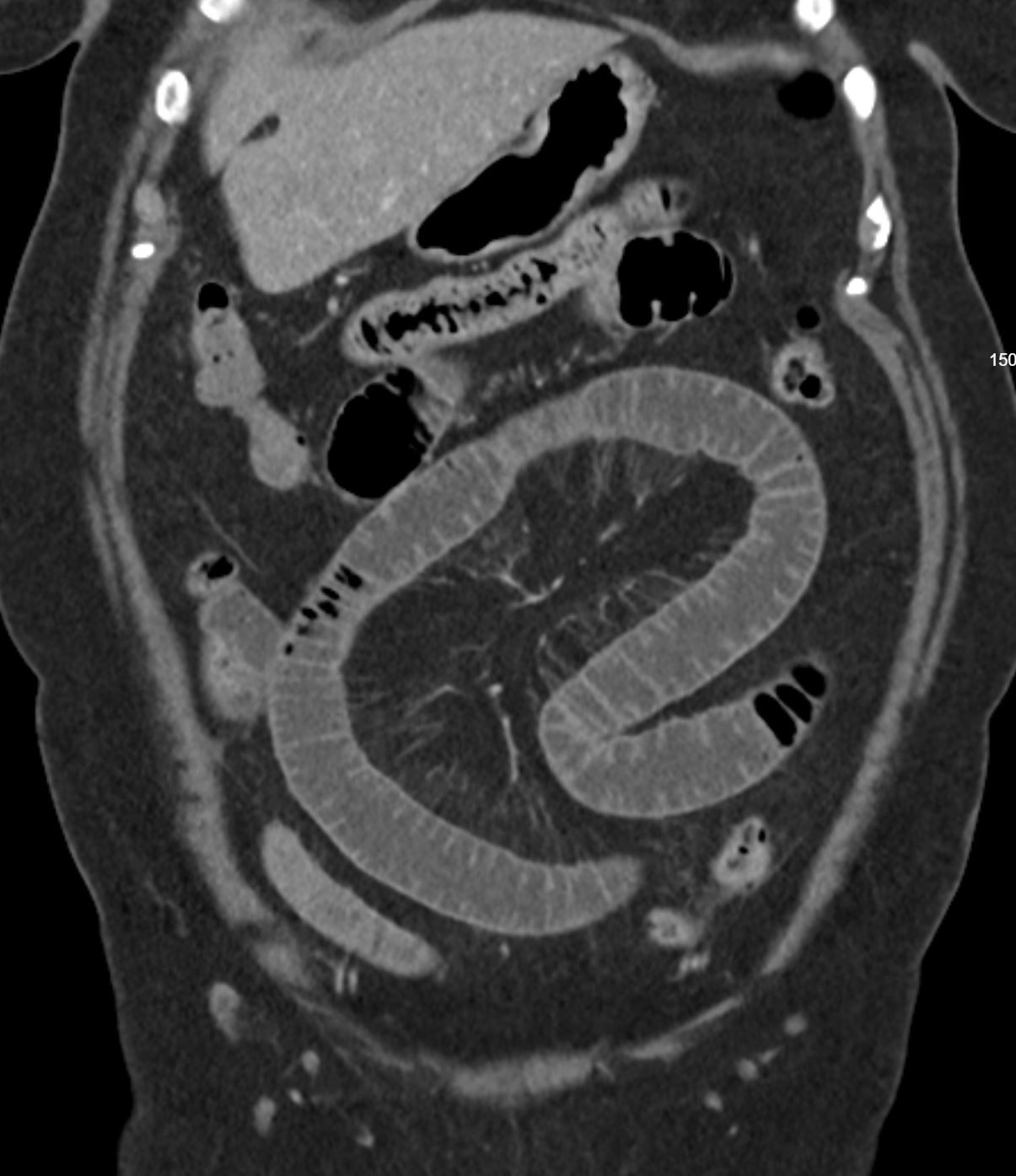
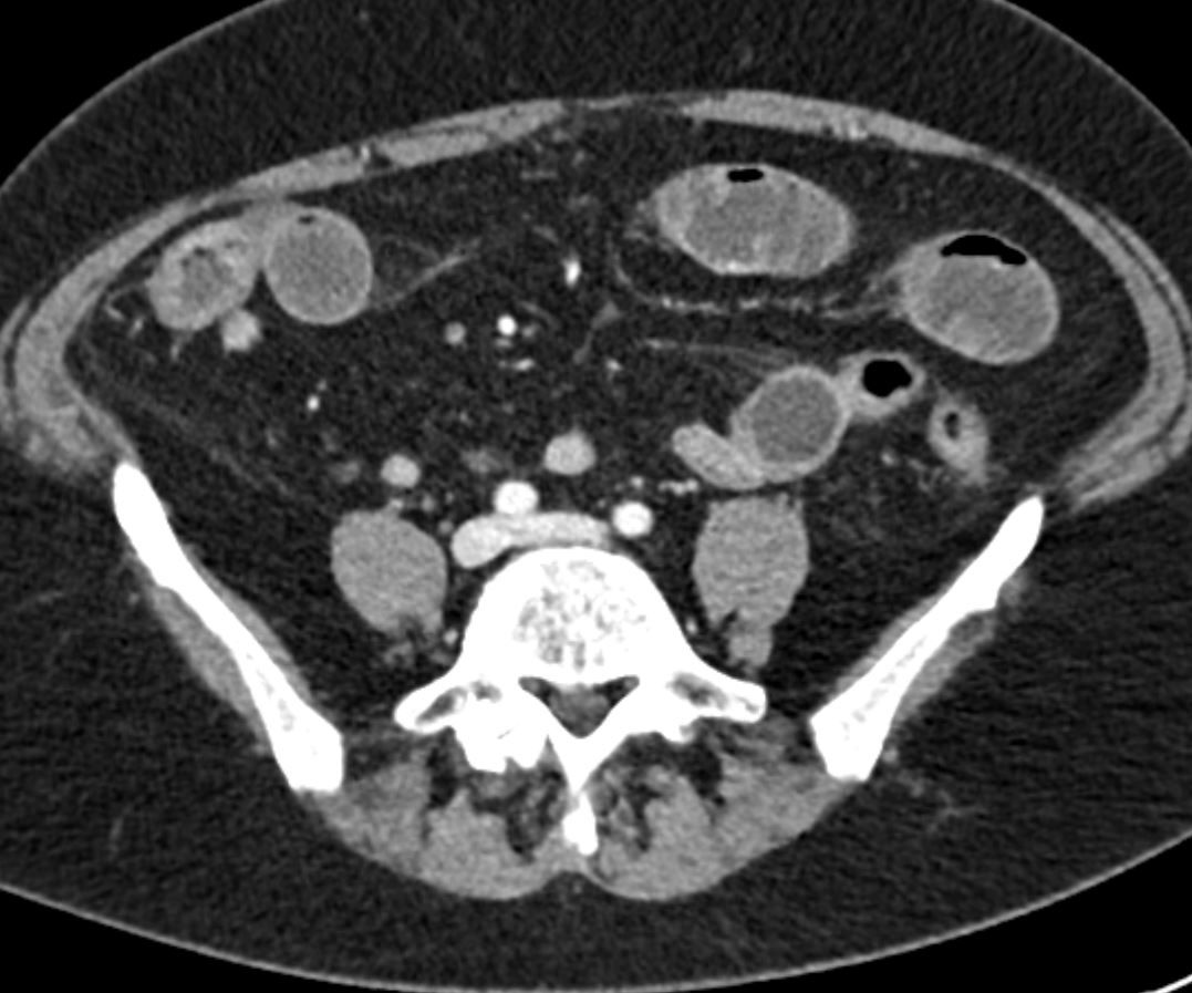
Image IQ Quiz: 59-Year-Old Patient Presents with Abdominal Pain
Author(s)Pranav Chitkara, M.D.
What is your diagnosis for this 59-year-old patient who presents with abdominal pain?
Advertisement
Case submitted by
For more coverage based on industry expert insights and research, subscribe to the Diagnostic Imaging e-Newsletter
What is your diagnosis?
Newsletter
Stay at the forefront of radiology with the Diagnostic Imaging newsletter, delivering the latest news, clinical insights, and imaging advancements for today’s radiologists.
Advertisement
Latest CME
Advertisement
Advertisement

































