
|Articles|November 9, 2021
Image IQ Quiz: Child Presents With Joint Pain, Swelling
Author(s)M. Mohammed, M.D.
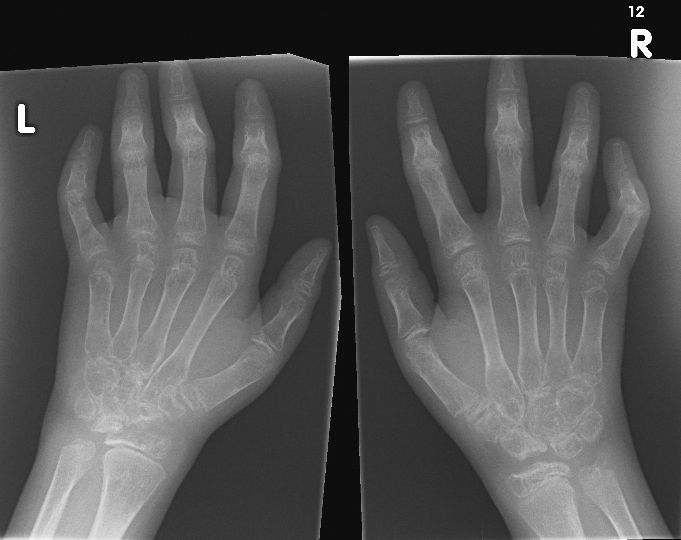
What is the diagnosis in this child?
Advertisement
Case submitted by M. Mohammed, M.D., via
Patient presents with joint pain and swelling. What is the diagnosis?
Newsletter
Stay at the forefront of radiology with the Diagnostic Imaging newsletter, delivering the latest news, clinical insights, and imaging advancements for today’s radiologists.
Advertisement
Latest CME
Advertisement
Advertisement






























