
|Articles|May 11, 2021
Image IQ Quiz: Middle-Aged Man Presents with Left-Sided Weakness
Author(s)Nelson Elkins, M.D.
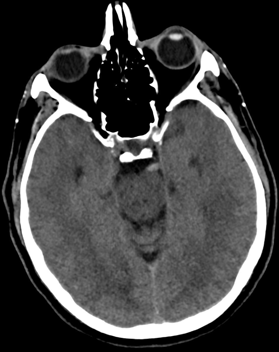
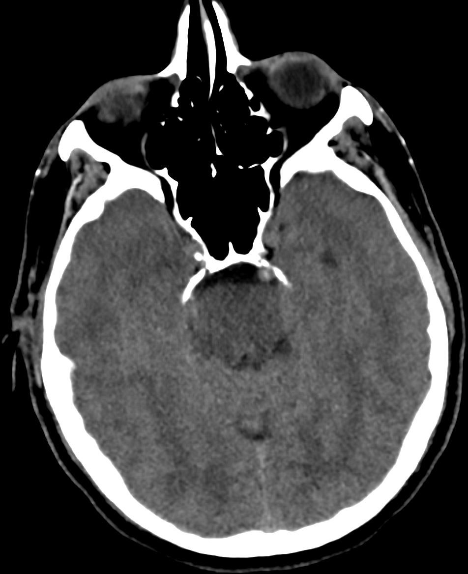
Middle age male with left sided weakness. What is the most likely diagnosis? What radiology sign is demonstrated?
Advertisement
Case submitted by 
For more coverage based on industry expert insights and research, subscribe to the Diagnostic Imaging e-Newsletter 
What is your diagnosis?
Newsletter
Stay at the forefront of radiology with the Diagnostic Imaging newsletter, delivering the latest news, clinical insights, and imaging advancements for today’s radiologists.
Advertisement
Latest CME
Advertisement
Advertisement
Trending on Diagnostic Imaging
1
Sirona Medical Receives FDA Clearance for Advanced Imaging Suite
2
FDA Clears Plaque Assessment Software for Coronary CT Angiography
3
Emerging Research and News in Prostate Cancer Imaging — October 2025
4
Emerging Trends with Radiology Practice Closures Point to Increased Subspecialization
5
































