
|Articles|May 26, 2021
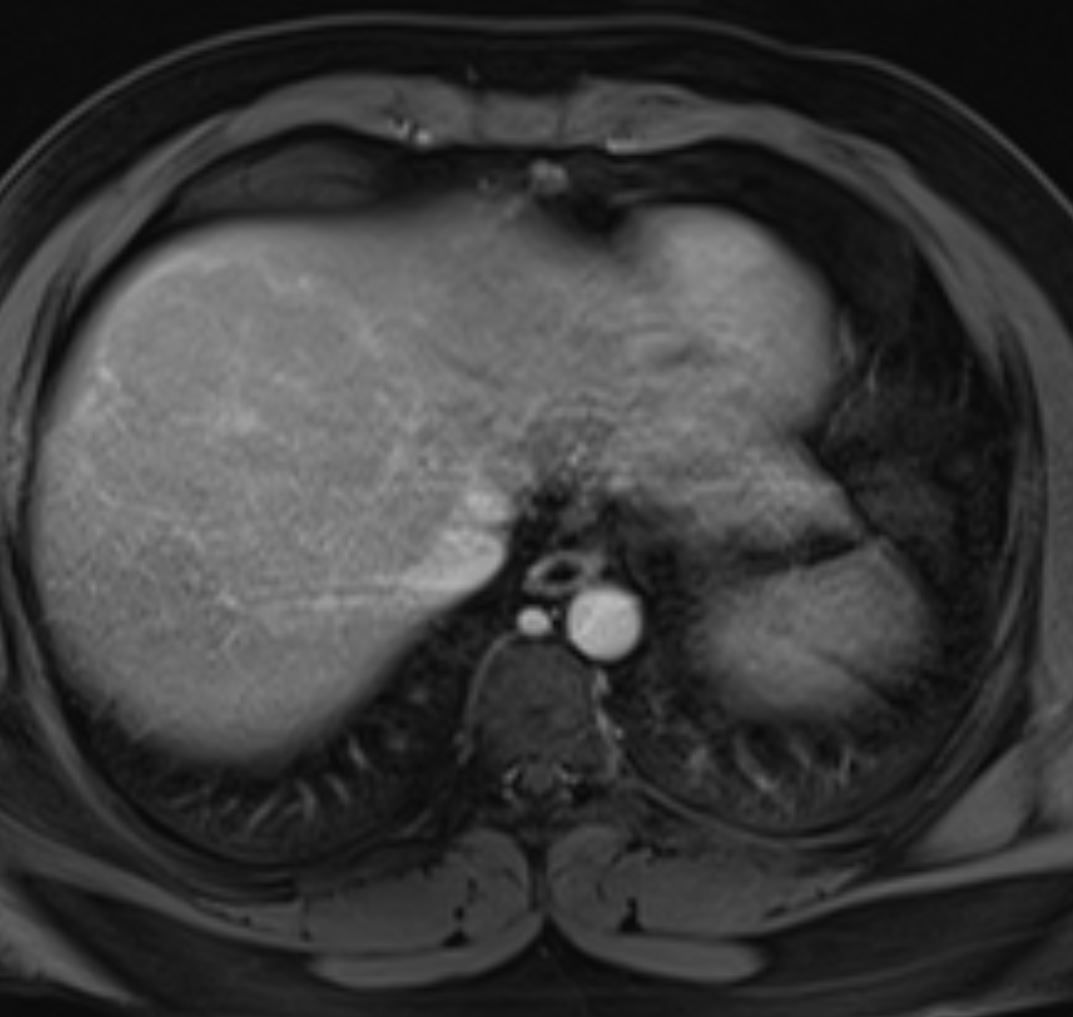
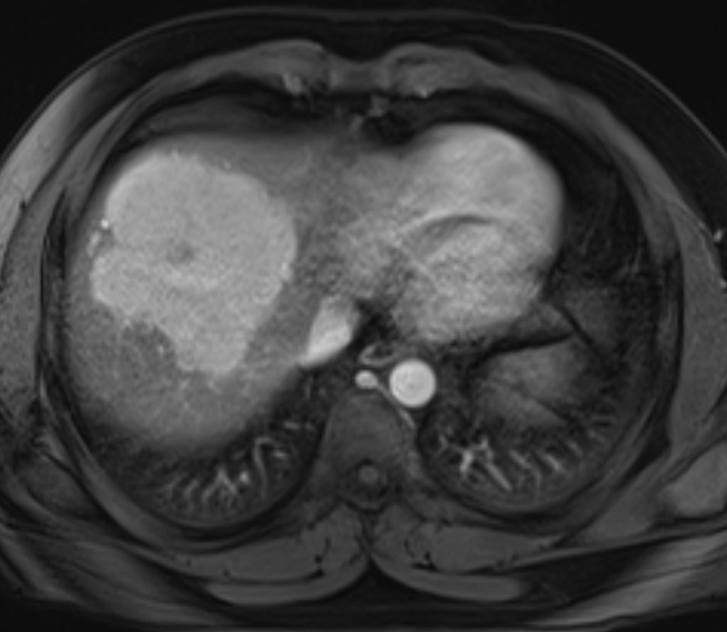
Image IQ Quiz: Patient Presents with Elevated Liver Function
Author(s)John Kim, M.D.
Young man presents with abnormal ultrasound and elevated liver function tests. What is the most likely diagnosis?
Advertisement
Case submitted by
For more coverage based on industry expert insights and research, subscribe to the Diagnostic Imaging e-Newsletter
What is your diagnosis?
Newsletter
Stay at the forefront of radiology with the Diagnostic Imaging newsletter, delivering the latest news, clinical insights, and imaging advancements for today’s radiologists.
Advertisement
Latest CME
Advertisement
Advertisement






























