
|Slideshows|December 5, 2017
Jaw Swelling
Author(s)Harpreet Singh, MD
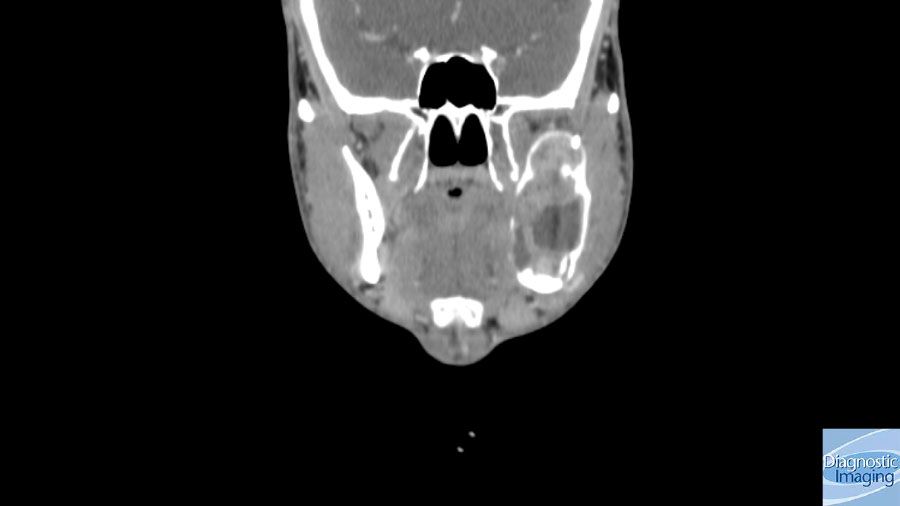
Case History: 57-year-old patient with longstanding history of swelling on left side of face and difficulty opening mouth.
Advertisement
Case History: 57-year-old patient presented with longstanding history of swelling on left side of face and difficulty opening mouth.
Newsletter
Stay at the forefront of radiology with the Diagnostic Imaging newsletter, delivering the latest news, clinical insights, and imaging advancements for today’s radiologists.
Advertisement
Latest CME
Advertisement
Advertisement
Trending on Diagnostic Imaging
1
Diagnostic Imaging's Weekly Scan: November 2 — November 8
2
Prospective Study Shows Capability of CXR AI to Detect Early-Stage Lung Cancer in Young Patients and Never Smokers
3
Study Shows Merits of CT Vascular Sign for Differentiating Solid Pulmonary Nodules
4





























