
Mammography AI Tool Cleared This Year Improves Breast Cancer Detection
Study shows implementing the newly cleared software can slightly improve sensitivity and false negatives.
Adding artificial intelligence (AI) to mammography interpretation can help radiologists catch more cancers, according to a new study using a tool awarded U.S. Food & Drug Administration 510(k) clearance earlier this year.
Currently, the body of literature around the effectiveness of AI with mammography is small because the use of the tools is still in the early stage of investigation. In order to grow the body of knowledge, researchers from AI company Therapixel tested their software, MammoScreen™, to see if it could benefit providers. What they found is slightly improved sensitivity and a better false-negative rate.
“The present study confirms the observed trend that AI algorithms are able to improve radiologist’ success rate in breast cancer detection, supporting the conclusion that radiologists and AI achieve better performance together than each of them individually,” the Therapixel team said.
The team, led by Serena Pacilè, Ph.D., clinical research manager at Therapixel, published their results on Nov. 4 in Radiology: Artificial Intelligence.
Related Content:
Although mammography is considered the gold standard for breast imaging, between 30 percent and 40 percent of breast cancers go undetected on screenings, the team said, and only 10 percent of women called back for additional screening are ultimately found to have cancer. But, AI has been shown to provide better results.
“Preliminary investigations have demonstrated that the use of AI systems as concurrent readers for interpreting mammograms can improve efficiency of the radiologist in terms of time, sensitivity, and specificity,” the team said.
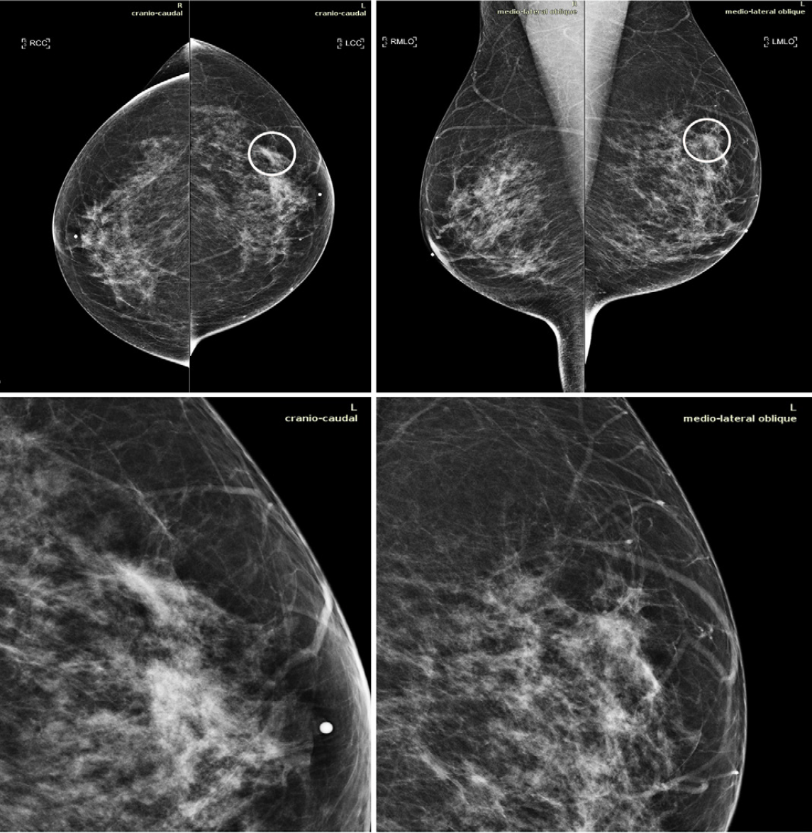
In an effort to show implementing AI does, in fact, reach those goals, Pacilè’s team tested MammoScreen™, a tool designed to identify regions suspected of having a breast cancer on 2D mammograms and evaluate their likelihood of malignancy. This system takes in the four views composing a mammogram and creates a set of imaging positions with a related suspicion score.
For this study, the team had 14 radiologists assess a dataset comprised of 240 2D digital mammography images that included a variety of abnormalities. The scans were captured between 2013 and 2016. Half were read once without AI, the team said, and the other half were twice – one without AI and once with it.
Based on their analysis, the team determined that using MammoScreen™ did make a difference with mammography interpretations.
“The results show that MammoScreen™ may help to improve radiologists’ performance in breast cancer detection,” Pacilè said.
In particular, the average area under the curve across readers was 0.769 without AI and 0.797 with it for an average AUC difference of 0.028. In addition, the team reported, the average sensitivity increased by 0.033 when the tool was used. However, the average specificity indicated less improvement with an increase of 0.010. The false-negative and false-positive rates were also impacted, the team said. For 11 of 14 radiologists, MammoScreen™ showed a trend toward lowering the false-negative rate with an average improvement of 18 percent, and the false-positive rate dropped by an average of 25 percent for eight radiologists.
*Note: Sensitivity and specificity for reading conditions with (R+A) and without (R) the AI system. Number in parentheses are 95% CI values.
Overall, the team said, these improvements came without adding time to a provider’s workflow. For cases where the likelihood of malignancy was low – less than a 2.5-percent chance – the tool produced slightly faster reading results. This time saved could lead to greater productivity, the team said.
“The AI-based tool has the potential to increase overall efficiency of radiologists on these cases, allowing them to focus their attention on the most suspicious examinations, while reassuring them on less suspicious examinations, which are far more numerous,” the team said.
As a next step, the team plans to investigate how MammoScreen™ acts on a large screening-based population and its ability to identify breast cancers earlier.
For more coverage based on industry expert insights and research, subscribe to the Diagnostic Imaging e-Newsletter
Newsletter
Stay at the forefront of radiology with the Diagnostic Imaging newsletter, delivering the latest news, clinical insights, and imaging advancements for today’s radiologists.






























