
|Slideshows|January 3, 2017
MGUS, Shoulder Pain, Swelling
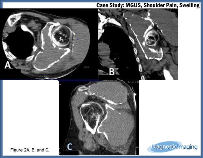
Case History: 62-year-old male with proven case of monoclonal gammopathy of unknown significance with shoulder swelling, pain.
Advertisement
Case History: A 62-year-old male with proven case of monoclonal gammopathy of unknown significance presented with complaint of left shoulder swelling and pain for three months.
Newsletter
Stay at the forefront of radiology with the Diagnostic Imaging newsletter, delivering the latest news, clinical insights, and imaging advancements for today’s radiologists.
Advertisement
Latest CME
Advertisement
Advertisement
Trending on Diagnostic Imaging
1
FDA Clears Plaque Assessment Software for Coronary CT Angiography
2
Emerging Research and News in Prostate Cancer Imaging — October 2025
3
Sirona Medical Receives FDA Clearance for Advanced Imaging Suite
4
Top Five Radiology Content — October 2025
5
































