
Optical imaging system nears commercial debut
Molecular data from optical breast imaging may be an answer for some of the shortcomings of mammography. Advanced Research Technologies (ART) in Quebec is betting on it.
Molecular data from optical breast imaging may be an answer for some of the shortcomings of mammography. Advanced Research Technologies (ART) in Quebec is betting on it.
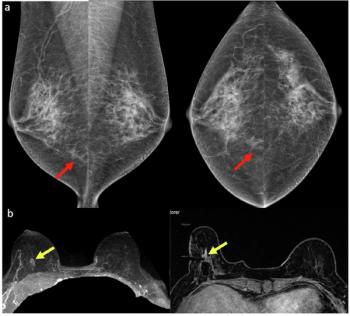
The Canadian company is preparing to market its SoftScan Optical Breast Imaging System, which uses time domain optical imaging technology to detect the growth of vascular beds that feed malignant tumors. ART expects the system to be approved in Canada later this year, followed by FDA approval in the U.S.
Pivotal trials are under way at eight clinical sites in Canada and the U.S., including Martin Memorial Health Systems in Florida, the University of California, San Diego, and Massachusetts General Hospital. Tissue characterization studies indicate that SoftScan can discriminate between malignant and benign lesions.
If commercialized, SoftScan will be positioned as an option to reduce the need for biopsy after a suspicious mammogram. If the optical scanner doesn't detect angiogenesis, the patient likely would not need to undergo any other imaging or biopsy. Unlike mammography, the technology works well with dense breasts. Another application is treatment monitoring following neoadjuvant chemotherapy.
ART acquired the exclusive license for time domain optical imaging technology in 2001. Time domain, as opposed to other optical data decoding methods, such as continuous wave or frequency domain, generates the most information possible about tissue, according to Mario Khayat, vice president of optical products for ART. It had been developed by Dr. Britton Chance, emeritus professor at the University of Pennsylvania, and was owned by Non-Invasive Technology.
"Chance was the first to discover how to use time domain to image inside a diffusing medium, where there is much inhomogeneity," Khayat said.
The procedure is performed with the patient lying prone on a table. Each breast is stabilized between plexiglas plates in a container filled with liquid designed to ensure that the diffuse light detected will be within the dynamic range acceptable by the system. A laser emits brief pulses of near-infrared energy into the breast. Detectors capture the optical information, and computers convert the raw data into an image.
GE Healthcare has expressed interest in commercializing SoftScan, according to Khayat. The company already markets ART's eXplore Optix, a small-animal preclinical research device that uses in vivo fluorescence time domain optical imaging. The device uses fluorescent probes and up to four lasers at different wavelengths designed to characterize, quantify, and visualize cellular and molecular events. It detects extremely low doses of fluorescent-labeled probes, making it attractive to drug developers.
Newsletter
Stay at the forefront of radiology with the Diagnostic Imaging newsletter, delivering the latest news, clinical insights, and imaging advancements for today’s radiologists.






























