In a comparative study of energy-integrating detector CT myelography versus photon-counting detector CT (PCD-CT) myelography for the detection of cerebrospinal fluid-venous fistulas (CVFs) in cases of spontaneous intracranial hypotension, PCD-CT myelography demonstrated 10 to 19 percent higher sensitivity rates with reviewing radiologists.
Emerging research suggests that photon-counting detector computed tomography (PCD-CT) myelography provides higher sensitivity and nerve root sleeve discernibility for diagnosing cerebrospinal fluid-venous fistulas (CVFs) in patients with spontaneous intracranial hypotension than energy-integrating detector CT (EID-CT) myelography.
For the retrospective study, recently published in the American Journal of Roentgenology, researchers compared PCD-CT myelography and EID-CT myelography for the detection of CVFs in 38 patients (mean age of 55) with spontaneous intracranial hypotension. The study authors also compared image quality, image noise and spinal nerve root discernibility of the two modalities.
Nerve root sleeve discernibility with PCD-CT myelography ranged between 8 to 54 percent higher than EID-CT myelography for three reviewing radiologists, according to the study findings. The researchers also found that sensitivity rates for PCD-CT myelography were 16 percent higher on average (58 percent) than EID-CT myelography (42 percent) with 7.3 lower specificity rates on average (91.3 percent vs. 98.7 percent).
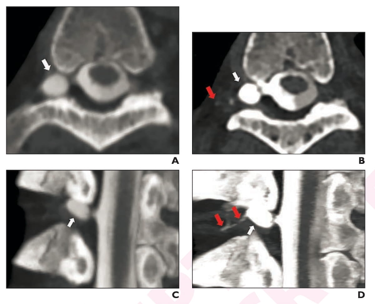
Here one can see energy-integrating detector CT (EID-CT) myelography images (A and B) and photon-counting detector CT (PCD-CT) myelography (C and D) for a 57-year-old man with two years of symptoms for spontaneous intracranial hypotension (SIH). The PCD-CT images were obtained a year and a half after the EID-CT images. None of the three reviewing radiologists detected cerebrospinal fluid-venous fistula (CVF) with the EID-CT images but all three radiologists diagnosed the CVF on PCD-CT images. (Images courtesy of the American Journal of Roentgenology.)

Utilizing a scale of 0-100, the reviewing radiologists also perceived higher image quality with PCD-CT myelography (74.3 percent on average) in comparison to an average of 55 percent for EID-CT myelography.
“PCD-CT myelograms exhibited higher subjective discernibility of spinal nerve root sleeves and higher overall image quality for all three readers. In addition, all three readers showed significantly higher sensitivity for definite CVFs for PCD-CT myelograms than for EID-CT myelograms, without a significant difference in specificity or accuracy,” wrote Timothy J. Amrhein, M.D., an associate professor of radiology and director of the spine intervention service at Duke University Medical Center in Durham, N.C., and colleagues.
While the researchers acknowledged higher false positives for CVF among all three reviewing radiologists for PCD-CT myelography, they suggested the study’s reference standard criteria may have been a contributing factor, pointing out successful treatment for possible CVFs for most of the patient who had a PCD-CT myelogram.
“Regardless of this possibility, given the high morbidity during the challenging and potentially prolonged diagnostic workup for CVFs, increased sensitivity at the expense of potentially lower specificity may be warranted in this clinical context,” emphasized Amrhein and colleagues.
(Editor’s note: For related content, see “Emerging Concepts with ICM Reduction and Photon Counting for Coronary CT Angiography,” “Current Concepts with Advances in Photon-Counting Computed Tomography” and “Is Photon Counting CT a Better Option than Dual-Energy CT for Pulmonary Angiography?”)
Beyond the inherent limitations of a retrospective single-center study, the authors acknowledged the small cohort size and a long interval between EID-CT myelography and PCD-CT myelography in some of the cohort patients. The researchers also conceded a possible patient selection bias with the study’s focus on patients who had at least two myelograms to determine a possible cerebrospinal fluid (CSF) leak and noted a lack of universal acceptance for the definite CVF attenuation threshold (> 70 HU) utilized in the study.
CT Study: AI Algorithm Comparable to Radiologists in Differentiating Small Renal Masses
May 14th 2024An emerging deep learning algorithm had a lower AUC and sensitivity than urological radiologists for differentiating between small renal masses on computed tomography (CT) scans but had a 21 percent higher sensitivity rate than non-urological radiologists, according to new research.
The Reading Room: Racial and Ethnic Minorities, Cancer Screenings, and COVID-19
November 3rd 2020In this podcast episode, Dr. Shalom Kalnicki, from Montefiore and Albert Einstein College of Medicine, discusses the disparities minority patients face with cancer screenings and what can be done to increase access during the pandemic.
Study Finds High Concordance Between AI and Radiologists for Cervical Spine Fractures on CT
May 6th 2024Researchers found a 98.3 percent concordance between attending radiology reports and AI assessments for possible cervical spine fractures on CT, according to new research presented at the 2024 ARRS Annual Meeting.