
Podcast: Breast Tomosynthesis - One Practice's Experience
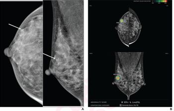
In this podcast, Stephen Rose, MD, president and CEO of Houston Breast Imaging and a principal investigator of the 3-D tomosynthesis clinical trials in 2010, discusses the benefits of the new technology and what his practice learned when implementing the screening program.
[[{"type":"media","view_mode":"media_crop","fid":"11554","attributes":{"alt":"Stephen Rose","class":"media-image media-image-left","id":"media_crop_8501769795264","media_crop_h":"0","media_crop_image_style":"-1","media_crop_instance":"218","media_crop_rotate":"0","media_crop_scale_h":"0","media_crop_scale_w":"0","media_crop_w":"0","media_crop_x":"0","media_crop_y":"0","style":"margin: 5px; float: left;","title":" ","typeof":"foaf:Image"}}]]In February 2011, the FDA approved the first X-ray mammography system that provides 3-D images for breast cancer screening and diagnosis,
In this podcast, Stephen Rose, MD, president and CEO of Houston Breast Imaging and a principal investigator of the 3-D tomosynthesis clinical trials in 2010, discusses the benefits of the new technology and what his practice learned when implementing the screening program. .
Newsletter
Stay at the forefront of radiology with the Diagnostic Imaging newsletter, delivering the latest news, clinical insights, and imaging advancements for today’s radiologists.














