Ultrasound diagnoses tendon tear in 36-year-old male weight-lifter with dull-achy sensation in right shoulder. No trauma or previous injury reported.
A 36-year-old male weight-lifter complained of a dull-achy sensation in his right shoulder. He reported that there was no trauma or previous injury to the affected region.

Figure 1: Note the 6 cm inferior difference of the affected right shoulder when compared to the unaffected left shoulder.
The only significant finding during physical examination was Apley’s Scratch Test, Action 3. During the third maneuver, the patient is instructed to place the hand on the low back and then attempts to reach as far superior as possible; towards the scapula.(3) This action tested for glenohumeral adduction, internal rotation, and scapular retraction with downward rotation.(3) There was an approximate 6 cm inferior difference between the affected right shoulder and the unaffected left shoulder.
All other orthopedic examination findings were unremarkable for pain and decreased range of motion.
Findings: Long axis and short-axis views of the long head of the biceps tendon, subscapularis tendon, supraspinatus tendon, infraspinatus tendon, teres minor tendon, acromioclavicular joint, and subacromial impingement test of the right shoulder were obtained using a Terason t3200 portable ultrasound system.
The normal ultrasound appearance of tendon is hyperechoic with a fibrillar pattern. On long axis scans, an internal network made up of many fine, tightly packed linear echoes.(6, 11) On short-axis ultrasound images, tendons appear as hyperechoic stippled clustered dots.(6, 11) Due to the fact that tendons can display anistrophic properties (artifactual hypoechogenicity), the transducer needs to be toggled to ensure that the tendon is completely visualized and not mistaken for pathology.(3)

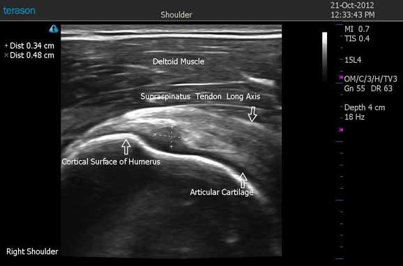
Figure 2 demonstrates a 0.34 cm x 0.48 cm hypoechoic defect on the articular side, with loss of the normal fibrillar pattern.

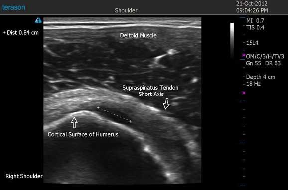
Figure 3 demonstrates a 0.84cm hypoechoic defect with loss of the normal fibrillar pattern on the articular surface of the supraspinatus tendon. Also shown, is slight irregularity of the cortical surface of the humerus on the short axis scan. On dynamic scans (not shown), there was no evidence of impingement or retraction of the supraspinatus tendon. The transducer was toggled over this hypoechoic defect on both the long and short axis to ensure this defect was indeed real.
Diagnosis: Partial thickness, articular-sided, supraspinatus tendon tear
Discussion: The supraspinatus muscle is one of the four muscles which make up the rotator cuff. Its main function is to stabilize the upper arm by holding the head of the humerus in position. It is important in throwing motions to control any forward motion of the head of humerus. The supraspinatus muscle also functions as a counterbalance to the deltoid muscle by depressing the head of the humerus.
Tears of the supraspinatus can be either partial thickness or full thickness, as well as articular-sided, bursal-sided, or intratendinous. A brief description will be given of each, but the main focus will be on partial thickness and articular sided tears.
The articular surface of the supraspinatus is the inferior surface, or closest to the head of humerus. The bursal surface is the superior aspect, or just beneath the subacromial bursal sac. The intratendinous aspect lies within the substance of the tendon, within the boundaries of the articular and bursal surface.
A full thickness tear of supraspinatus is one that extends from the articular surface to the bursal surface; whereas partial thickness tears involve either the articular side or the bursal side, but not both.(4) Articular sided tears are far more common the bursal sided tears.(5, 9, 10) Intratendinous tears occur within the substance of the tendon itself and does not extend to the articular and/or bursal surface.
Partial thickness tears are believed to be caused by many factors, the most common are that of degeneration and ischemic changes.(5, 10) Partial articular supraspinatus tendon avulsions represent delamination tears of the articular surface of the supraspinatus tendon. These are commonly known as PASTA lesions.(5, 9) There is a classification system that references the depth of the tear.(12) Grade I: < 3 mm; Grade II: 3 – 6 mm; Grade III: > 6 mm.
Articular sided tears are much more complex in nature. For example, in young athletes, this type of tear may be due to posterosuperior impingement.(10)
A unique type of tear to the supraspinatus tendon that occurs in the young athletic population is a partial and articular sided tear immediately adjacent to the greater tuberosity of the humerus.(1,5,10) It is this at this site where the collagen fibers of the supraspinatus tendon makes a sudden 90 degree turn. This particular type tear is commonly called a rim-rent tear.
Acknowledgement: Special thank you to Terason Ultrasound for the usage of their system.
Gregg Mallett, DC, ATC
Mallett Clinic, Aliso Viejo, Calif.
Stay at the forefront of radiology with the Diagnostic Imaging newsletter, delivering the latest news, clinical insights, and imaging advancements for today’s radiologists.