
Whole-body PET/CT and 3T MR perform equally well for lung cancer staging
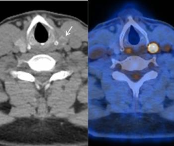
No clear winner has emerged in a head-to-head comparison of whole-body FDG-PET/CT and whole-body 3T MRI for non-small cell lung cancer staging. Unenhanced PET/CT proved better for detecting metastatic lymph nodes and soft-tissue involvement, while MR was more sensitive to the presence of brain and liver metastases.
No clear winner has emerged in a head-to-head comparison of whole-body FDG-PET/CT and whole-body 3T MRI for non-small cell lung cancer staging. Unenhanced PET/CT proved better for detecting metastatic lymph nodes and soft-tissue involvement, while MR was more sensitive to the presence of brain and liver metastases.
Although thoracic CT is considered the modality of choice for assessing the intrathoracic spread of lung disease, no consensus exists for which modality is best for evaluations of metastases.
Dr. Chin A. Yi and colleagues at the Sungkyunkwan University School of Medicine in Seoul, Korea, examined findings from 165 NSCLC patients screened with whole-body PET/CT and whole-body 3T MRI.
None of the patients were thought to have metastatic disease on the basis of a physical exam, lab findings, and enhanced thoracic CT covering the thorax and upper abdomen.
No statistically significant advantage was identified for either PET/CT and whole-body MRI for tumor staging. Whole-body PET/CT and 3T MRI correctly staged 82% and 86% of the primary tumors, respectively.
For N-staging, the performance of the two modalities was again nearly equal. PET/CT correctly staged 70% of patients, and 3T MR correctly staged 68%.
Both PET/CT and whole-body MR showed 86% accuracy on a per-patient basis for detecting metastases. PET/CT was 48% sensitive and 96% specific for their presence. Three-T MRI was 52% sensitive and 94% specific.
Yi and colleagues found that PET/CT may have been more useful for metastasis detection in lymph nodes and soft tissue because of prominent FDG uptake in lesions in these areas.
Yi credited the higher field strength of 3T MRI and the use of a phased-array cardiac coil for thoracic imaging for improvements compared with earlier studies performed with 1.5T MRI. The better contrast of the MR images compared with PET/CT may have provided improved metastasis detection in the brain, liver, and kidneys, he said.
Results were published in the August issue of Radiology (2008;248(2):632-642).
For more information from the Diagnostic Imaging archives:
Newsletter
Stay at the forefront of radiology with the Diagnostic Imaging newsletter, delivering the latest news, clinical insights, and imaging advancements for today’s radiologists.




























