
AI Coverage
about 21 hours ago
A Closer Look at Automated LLM Protocoling for Abdominal and Pelvic CT15 days ago
Top Five MRI Content for 2025Latest News

Seven Takeaways from New Review of Common Mammography Misses

A Closer Look at Automated LLM Protocoling for Abdominal and Pelvic CT

FDA Clears Multimodality Tumor Marker for Breast Cancer Imaging

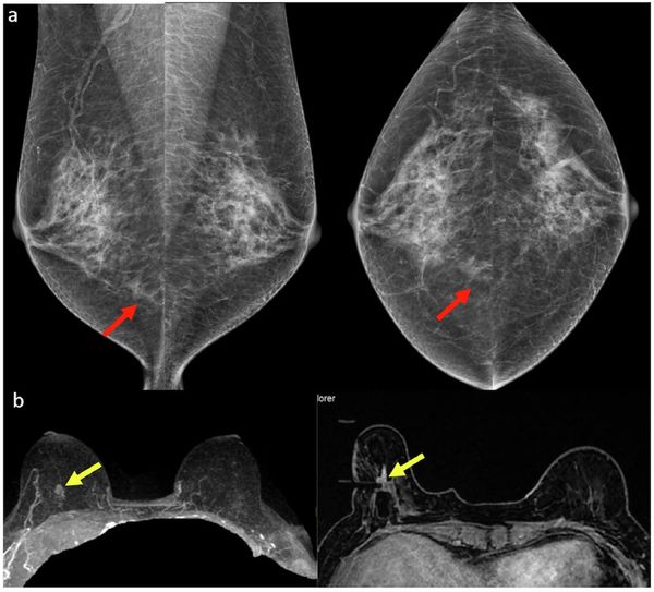
Mammography Study Reveals Limitations with DBT in Women with Extremely Dense Breasts

Challenges with Diversity and Residency Attrition Rates in Interventional Radiology

Shorts










Podcasts
Videos
All News

After a causal mediation analysis that adjusted for breast density, researchers found that Black women had a significantly higher likelihood of high MRI-derived background parenchymal enhancement (BPE) than White women in a study involving nearly 2,500 women.

Offering compact versatility for an array of clinical settings, the ASUS Handheld Ultrasound LU800 is reportedly the first handheld device to be supported across Android, Chrome, iOS and Windows operating systems.

In a recent interview, Ron Blankstein, M.D., discussed insights from a recent consensus statement from the American College of Cardiology on AI-enabled plaque quantification with coronary computed tomography angiography (CCTA) exams, and other pertinent considerations with the emerging technology.

The AI-CVD software reportedly combines automated quantitative measurements for cardiovascular assessments such as coronary artery calcium (CAC) scoring and epicardial fat volumetry with lung attenuation and liver attenuation analysis in one CT-based AI platform.

Is the current OLA process a viable alternative for assessing our skills?

Catch up on the top radiology content of the past week.

The upgraded RefleXion X2 platform offers a 20 cm field of view that may bolster visualization of moving tumors.

For patients with triple-negative breast cancer being treated with neoadjuvant chemotherapy and immunotherapy, MRI demonstrated a 94.3 percent sensitivity for predicting pathologic complete response, according to a new study.

In addition to offering a variety of AI features, the Magnetom Flow 1.5T MRI system reportedly facilitates a 56 percent reduction in annual energy consumption in comparison to previous MRI scanners.

The use of contrast-enhanced mammography in nearly 200 cases of screening recalls yielded a 96.1 percent per-breast sensitivity rate and a 99 percent negative predictive value.

In a recent interview, Onofrio Catalano, M.D., Ph.D., discussed new research findings demonstrating robust sensitivity and specificity in detecting hepatocellular carcinoma in patients with LI-RADS 3 presentations.

In a study involving over 1,400 patients who had abdominal or pelvic CTs, the large language model GPT-4o selected optimal protocols in 96.2 percent of cases in comparison to 88.3 percent for radiologists.

The Echo Stewardship Program, which allows non-sonographer clinicians to perform focused cardiac ultrasound exams under physician guidance, is now cleared for use across handheld, laptop and cart-based ultrasound platforms

In a recent interview, Jeremie Calais, M.D., Ph.D., discussed new research examining the prognostic capacity of PSMA PET parameters in predicting hematologic toxicity and outcomes for patients treated with (177Lu)Lu-PSMA-617 for mCRPC.

In a new literature review, researchers discuss common patterns and complications with cosmetic fillers that can be revealed on ultrasound imaging.









































