
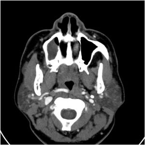
A 57-year-old female presents to the emergency department with dysphagia and reports her throat is “closing up.” On physical exam, there are no palpable masses appreciated along the neck, and the thyroid descends along the midline on swallowing and is noted to be slightly enlarged.


