
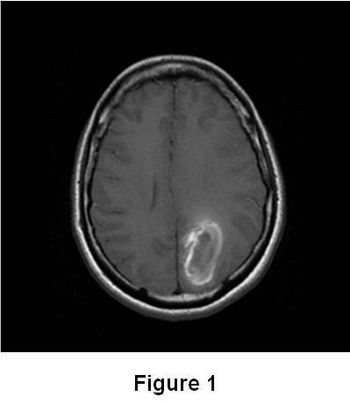
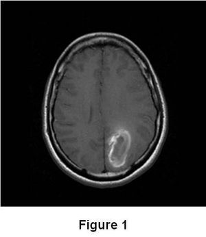
A 32 year old African American female presents with temporal region headaches, including sudden onset of extreme pain with no exacerbating or relieving factors, as well as peripheral vision loss in the right eye. MRI, MRA, and MRV added diagnosis.

Published: June 9th 2011 | Updated: