
Burdensome bureaucracy is penalizing many law-abiding radiologists in India, 16 years on from implementation of the Pre-Conception (PC) and Pre-Natal Diagnostic Techniques (PNDT) Act.

Burdensome bureaucracy is penalizing many law-abiding radiologists in India, 16 years on from implementation of the Pre-Conception (PC) and Pre-Natal Diagnostic Techniques (PNDT) Act.

It is widely accepted that reducing time from admission to definitive care saves lives, but usually imaging is one of the major sources of delays. This means radiologists play a vital role in prioritizing patients and selecting the correct modality.

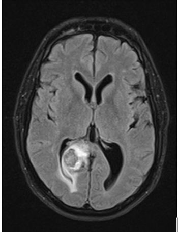
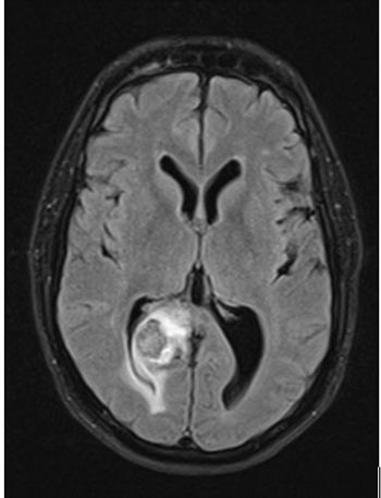
MR developments over recent years have allowed researchers to explore water molecule motion between cells using diffusion-weighted imaging to indirectly measure cellular density within a tissue. This has provided a new and continuously evolving tool in oncologic imaging for lesion detection, characterisation, and therapy assessment.

Sixteen years on from implementation of the Pre-Conception (PC) and Pre-Natal Diagnostic Techniques (PNDT) Act, burdensome bureaucracy penalizes many law-abiding radiologists in India. Furthermore, rather than preventing them, the act has driven up the price of illegal sex selection services. Meanwhile, registered ultrasound clinics face heavy fines for minor infringements.

New developments in ultrasound and MRI mean that peripheral nerve imaging is easier than ever to perform and may bring higher sensitivity to lesion detection.

CT urography with multislice technology has a very high spatial resolution for imaging the urinary tract. It can detect tiny urothelial tumors inside the intrarenal collecting system and ureter, potentially avoiding the need for more invasive endourologic procedures. MR urography is preferred for some patients, however.

The number of CT scans performed in the pediatric abdomen in the U.S. is high compared with Europe, possibly because doctors fear legal action in the case of a missed pathology or disease. Rather than using CT for appendicitis, many doctors in the Netherlands still prefer to use ultrasound to visualize the swollen, fluid-filled, or normal appendix.

Correct diagnosis of tumor character and stage is fundamental to lung cancer therapy planning. It is vital to determine as soon as possible whether patients are likely to respond to treatment, but evaluating indeterminate solitary pulmonary nodules continues to challenge radiologists.

Correct diagnosis of tumor character and stage is fundamental to lung-cancer therapy planning, but evaluating indeterminate solitary pulmonary nodules (SPNs) continues to challenge radiologists. In addition, it is vital to determine as soon as possible whether patients are likely to respond to treatment.

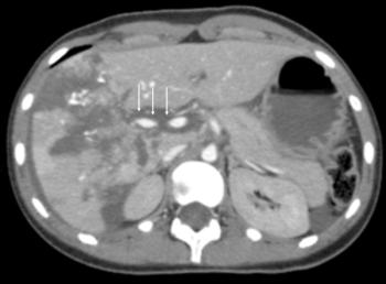
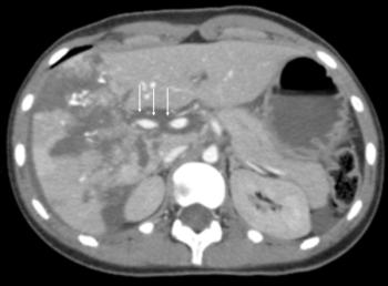
Technical advances in MRI have paved the way for functional imaging of the abdomen, moving beyond simple morphological evaluation of disease and in some cases proving superior to multislice CT. With quantitative imaging tools at their disposal, radiologists are rethinking what they need to visualize with MR to answer new clinical questions.

In treating an underlying problem in the head and neck, potential complications must be identified and graded in the radiologist’s report for correct follow-up. Radiologists may be able to solve a clinical problem directly with a single approach such as ultrasound. But other modalities must be used when ultrasound fails due to the depth of a lesion or air within the lumen, making evaluation of the head and neck complex, according to researchers from Italy, Austria, and Switzerland.

Ultrasound techniques that are improving prostate cancer detection, grading, and staging are useful in men presenting with an elevated level of prostate specific antigen. They offer therapeutic strategies and may avoid the need for prostatectomy. In the future, surgery may not be the number one treatment choice, according to speakers at a special focus session on imaging in patients with elevated PSA levels.

Published: March 10th 2007 | Updated:

Published: March 10th 2007 | Updated:

Published: March 16th 2007 | Updated:

Published: February 12th 2010 | Updated:

Published: March 6th 2009 | Updated:

Published: March 9th 2009 | Updated: