
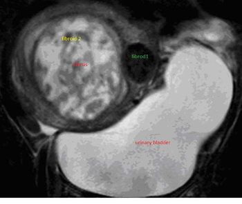
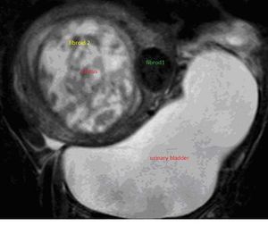
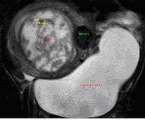
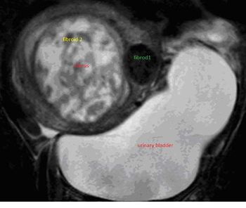
Case History: A 40-year-old female referred for evaluation of lower abdominal pain and polymenorrhea for six months.

Case History: A 40-year-old female referred for evaluation of lower abdominal pain and polymenorrhea for six months.

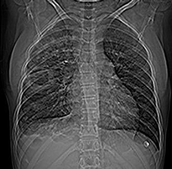
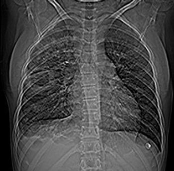
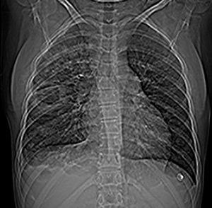
A 16-year-old female was referred for evaluation of fever of four days duration. The patient had a renal transplant done one week back and was found to be suffering from thrombosis of A.V. fistula in the upper extremity as per the history. The A.V.F thrombosis was confirmed by ultrasound examination. In addition patient had evidence thrombosis of the same upper limb.

Published: October 22nd 2013 | Updated:

Published: November 10th 2011 | Updated: