
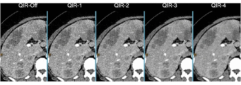
The advanced reconstruction algorithm offers optimal noise reduction, artifact correction, detailed spectral data and streamlined radiation dosing across cardiac, pulmonary and oncologic imaging.

Giuseppe Scappatura is a Radiology Technician at the UOC Radiology department of GOM in Reggio Calabria, Italy. He specializes in a broad spectrum of radiological procedures, ranging from TC body and neuro, RM body and neuro, to post-processing and traditional radiology. He is an integral member of both the Multidisciplinary CAR-T Therapy Team and the Multidisciplinary Prostate Cancer Team. Moreover, he has played a pivotal role in coordinating diagnostic procedures related to COVID-19.

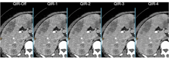
The advanced reconstruction algorithm offers optimal noise reduction, artifact correction, detailed spectral data and streamlined radiation dosing across cardiac, pulmonary and oncologic imaging.

While contrast media extravasation is a rare complication, there can be varying degrees of severity. Accordingly, this author reviews possible causes of this complication, prevention principles and pertinent considerations in addressing this complication when it does occur.

As ongoing advances continue to redefine and elevate the diagnostic capabilities of MRI, ensuring the safety of patients and operators through effective signage, training and regular safety audits is of paranount importance.

Emphasizing optimal balancing of patient safety and image quality, these authors discuss the impact of the specific absorption rate and B1+rms parameters upon radiofrequency exposure with MRI exams.

Given the frequent challenges in magnetic resonance imaging that are associated with claustrophobia, this author discusses innovations in noise reduction, radiofrequency coils and wide bore scanners, and emphasizes keys to relieving patient anxiety.

Given the essential role of X-ray filtration in computed tomography (CT) systems, this author discusses key principles and emerging advances with filters and spectral shaping to facilitate quality imaging and optimal radiation dosing.

Photon-counting computed tomography (PCCT) offers a number of salient advantages over conventional CT, including improved image resolution and contrast-to-noise ratio, enhanced denoising capability and inherent spectral sensitivity.

iMPI technology represents a significant advancement in the field of medical imaging that may potentially revolutionize the way endovascular interventions are conducted.