
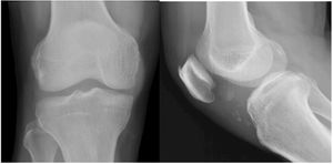
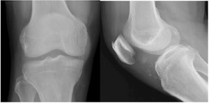
Case History: 20-year-old female with mild pain in left knee joint area, no history of injury and laboratory test was normal for inflammation or rheumatoid.

Case History: 20-year-old female with mild pain in left knee joint area, no history of injury and laboratory test was normal for inflammation or rheumatoid.

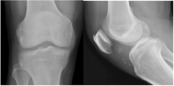
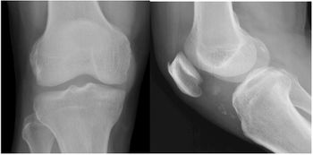
Case History: 58-year-old male with intermittent mild pain in left knee. No previous remarkable trauma; no correlation between pain and physical activity.

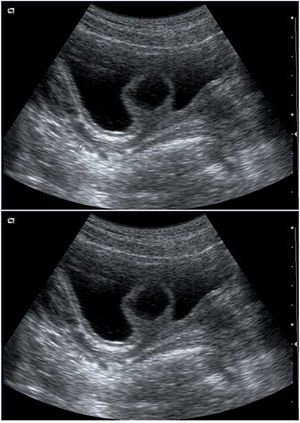
Case History: A 12-year-old girl admitted to our hospital for dysuria. Physical examination was unremarkable. Urianalysis was suggestive of lower urinary tract infection. Urinary ultrasound was indicated.

Case History: A 57-year-old woman presented complaining of a long lasting epigastric pain. The pain was irregular, vague without spreading or progression or correlation to alimentary habit.


Published: December 4th 2013 | Updated:

Published: January 28th 2014 | Updated:

Published: June 10th 2014 | Updated:

Published: June 17th 2014 | Updated:

Published: February 28th 2013 | Updated: