
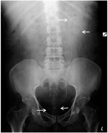
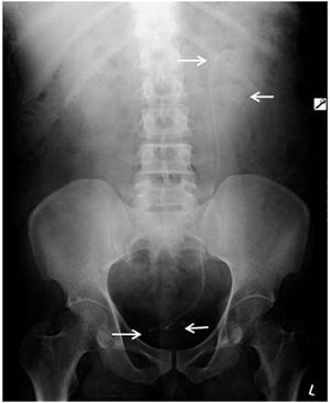
It’s been argued that repeat/reject analysis, a quality-assurance tool to observe trends and make improvements that help reduce the need for repeat images, is not necessary when using digital equipment. While it is true that digital imaging reduces some error rates, the results on the Mayo Clinic digital poster exhibit at the RSNA meeting showed that mistakes still occur in the digital environment.








