
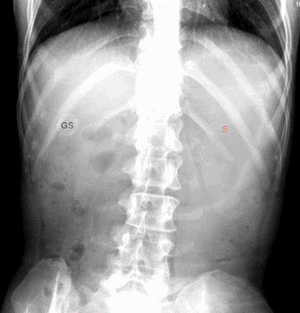
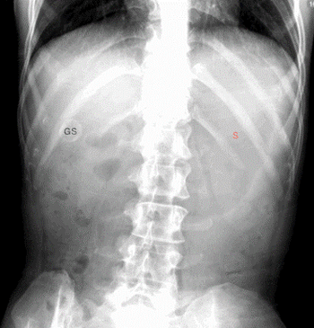
A 34-yr-old bed-bound woman with mental delay, cerebral palsy, and lower extremity paraplegia presented to the emergency department after 10 to 15 episodes of greenish-tinged vomit. Her caregivers reported that the she had been vomiting for the entire day. On physical exam, the patient’s abdomen was non-tender, non-distended, and had normal bowel sounds.


