
Can AI Bolster MRI Lesion Detection and Segmentation in Patients with Multiple Sclerosis?
An artificial intelligence model, trained on MRI and FLAIR imaging from over 900 patients with multiple sclerosis, demonstrated a 96 percent accuracy rate and 99 percent specificity rate for contrast-enhancing lesions in this patient population.
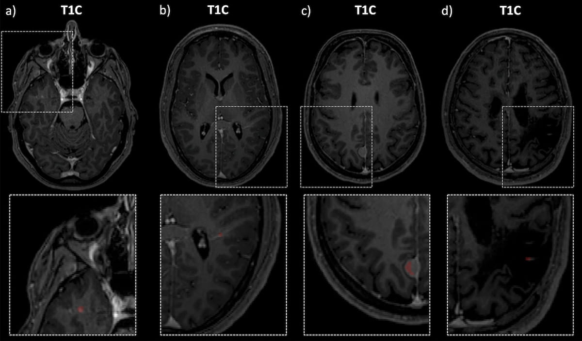
While contrast-enhancing (CE) lesions on brain magnetic resonance imaging (MRI) play a key role in the management of patients with multiple sclerosis (MS), significant variation in the morphology of CE lesions and the time-consuming nature of manual segmentation of these lesions can lead to errors by radiologists. However, an emerging convolutional neural network (CNN) may facilitate optimal diagnosis and segmentation of lesions in this patient population.
In a new retrospective study, recently published by
For patient-level assessment, the researchers found the CNN model had a 96 percent accuracy rate and a 99 percent specificity rate for the prediction of CE lesions in this patient population. The study authors said the CNN model also had a 75 percent recall rate.
“Our work demonstrates that the implementation of an externally developed and trained AI system for CE lesion detection can substantially contribute to the neuroradiological workup of MS patients in clinical routine,” wrote study co-author Dennis M. Hedderich, M.D., who is affiliated with the Department of Diagnostic and Interventional Neuroradiology in the School of Medicine at the Technical University of Munich in Germany, and colleagues. “AI-based detection of CE lesions representing active inflammation in MS patients is feasible, approaching human reader performance with respect to recall, precision and accuracy.”
(Editor’s note: For related content, see “
The researchers noted that the majority of false negative lesions with the CNN model had punctual enhancement in comparison to the prevalent ring enhancement seen with true positive lesion assessments. False negative lesions often occurred in an infratentorial location, were smaller in size and occurred more at lower contrast, according to Hedderich and colleagues.
In regard to study limitations, the researchers conceded the low percentage of patients with contrast-enhancing lesions (15 percent) may have impacted overall accuracy rates with the AI model. They also acknowledged that multiple follow-up scans for some patients were included in datasets.
Newsletter
Stay at the forefront of radiology with the Diagnostic Imaging newsletter, delivering the latest news, clinical insights, and imaging advancements for today’s radiologists.






























