
Can Cardiac CTA be a Viable Alternative for Post-Op Assessment of Left Atrial Appendage (LAA) Closure?
 
 Cardiac CT angiography may provide insights on common post-op complications of left atrial appendage closure, ranging from peri-device leaks to device-related thrombus, according to research presented at the American Roentgen Ray Society (ARRS) conference.
While transesophageal echocardiography has been the standard imaging utilized for post-op evaluation of left atrial appendage (LAA) closure, researchers at the American Roentgen Ray Society (ARRS) conference suggested that cardiac computed tomography angiography (CCTA) provides a less invasive option for assessing common complications.
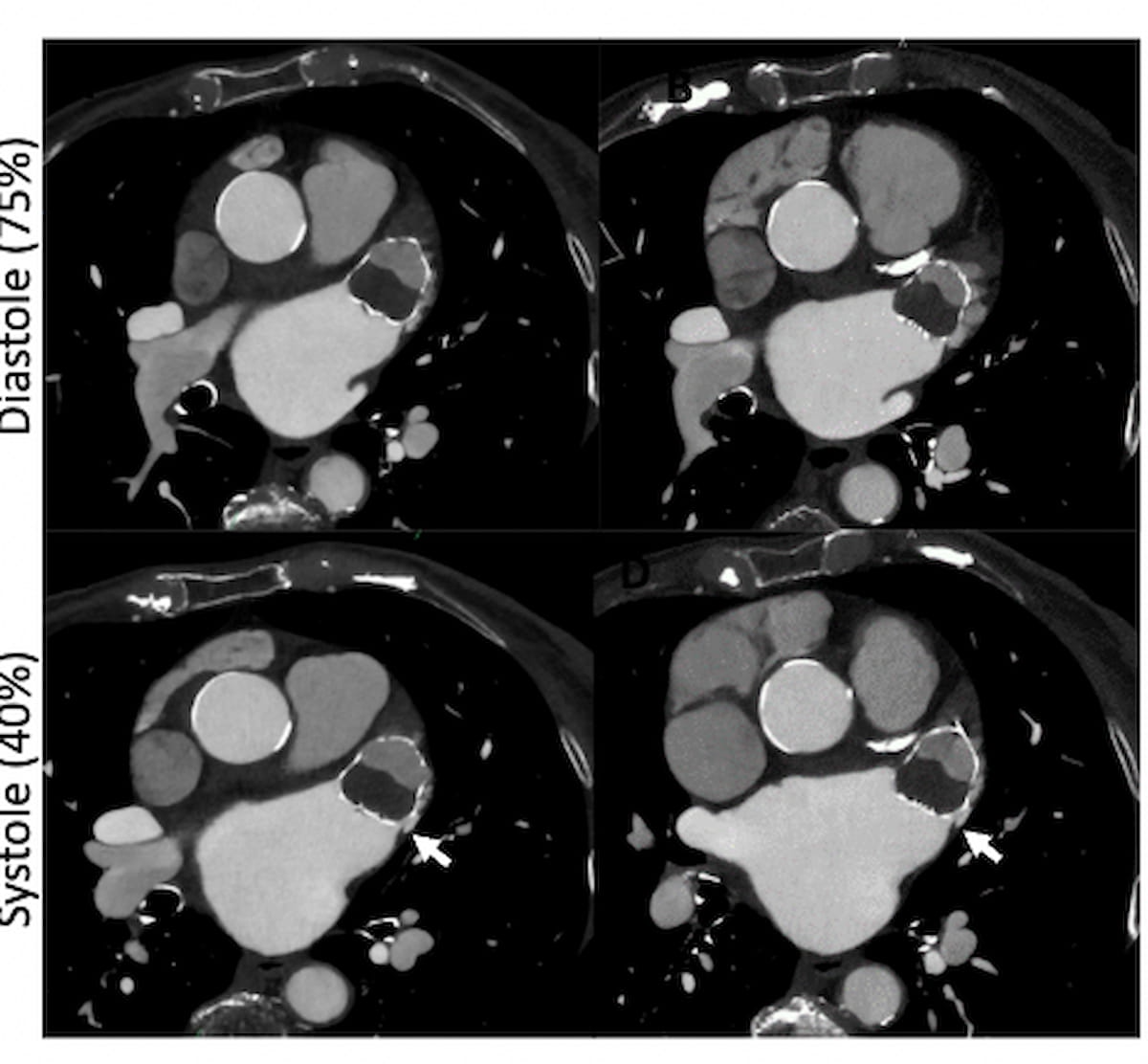
Approximately 45 to 60 days after placement of the Watchman device for LAA closure in some patients with non-valvular atrial fibrillation, the researchers recommended the use off CCTA images near end-systole, subsequent multiplanar reconstruction (MPR) and short axis plane rotation to determine the presence of leaks in the long axis.
Patency of the LAA has been achieved if the LAA HU > 100 HU or the LAA/left atrium (LA) HU > 25 percent, according to the researchers. In the absence of a leak, the researchers noted that at least 50 HU lower contrast enhancement in the LAA in comparison to the left atrium indicates incomplete endothelialization.
Pointing out that failed endothelialization, off-axis device positioning and failed expansion of the Watchman device against the LAA in the landing zone are common contributing factors with peri-device leaks, the researchers emphasized that CCTA facilitates optimal evaluation of these leaks, which can occur in over 65 percent of patients shortly after undergoing LAA closure.
“CT is more sensitive than echocardiography for the detection of (peri-device) leaks, especially for the detection of tiny marginal leaks, fabric leaks, and defects of endothelialization,” maintained lead poster author Aishwariya Vegunta, M.D., who is affiliated with the Department of Radiology at the University of Wisconsin School of Medicine and Public Health in Madison, Wisc.
Defining a peri-device leak as a contrast enhancement trail on CCTA that is adjacent to the Watchman device, the researchers noted that while peri-device leaks < 5 mm may spontaneously resolve with endothelialization, leaks > 5 mm require the use of oral anticoagulation therapy.
Other key considerations on CCTA include sub-fabric hypoattenuated thickening (HAT), device-related thrombus (DRT) and atrial septal defects (ASDs).
Atrial septal defects occur immediately after LAA closure procedures in 85 percent of patients and commonly seal by six-months post-op, according to Vegunta and colleagues. The researchers noted that a high thickness or pedunculated HAT suggests a potential DRT, and LAA thrombus is reportedly associated with a four- to fivefold increased risk for thromboembolic events.
“Cardiovascular imagers should be aware of the standardized CCTA acquisition and image interpretation including expected ‘normal’ findings and complications,” added Vegunta and colleagues.
(Editor’s note: For related content, see “
Reference
1. Vegunta A, Siembida JM, Priya S, Bluemke DA, Baliyan V, Nagpal P. Post LLA closure device placement cardiac CT imaging: technique and pearls. Presented at the American Roentgen Ray Society (ARRS) conference April 27-May 1, 2025, San Diego. Available at: 
Newsletter
Stay at the forefront of radiology with the Diagnostic Imaging newsletter, delivering the latest news, clinical insights, and imaging advancements for today’s radiologists.
































