FDA Clears AZchest AI Software for New CXR Applications
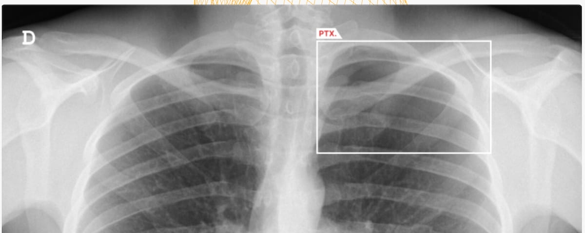
The AI-powered AZchest CXR software reportedly offers 93.79 percent sensitivity and a 98.57 percent AUC for pneumothorax.
The Food and Drug Administration (FDA) has granted two 510(k) clearances for the artificial intelligence (AI)-enable software AZchest for chest X-rays (CXRs). In addition to lung nodule detection, the AZchest software has been cleared for triage of cases involving pneumothorax or pleural effusion.
Recent research revealed 93.79 percent sensitivity and a 98.57 percent area under the receiver operating characteristic curve (AUC) for detection of pneumothorax with
For lung nodule detection, AZmed said AZchest demonstrated 88.47 percent sensitivity and 82.94 percent specificity as a standalone software. In a separate multi-reader, multi-case study, adjunctive use of AZchest increased sensitivity for lung nodules on CXR by 10 percent, according to AZmed.
"We are proud to add two new FDA clearances to our portfolio. Our deep learning algorithms are designed to rapidly and accurately detect abnormalities, thereby ensuring that critical cases are flagged for clinical review promptly," said Julien Vidal, the CEO of AZmed.
Newsletter
Stay at the forefront of radiology with the Diagnostic Imaging newsletter, delivering the latest news, clinical insights, and imaging advancements for today’s radiologists.


































