50-year-old patient presented for screening mammogram. Extremely dense breast tissue was noted.
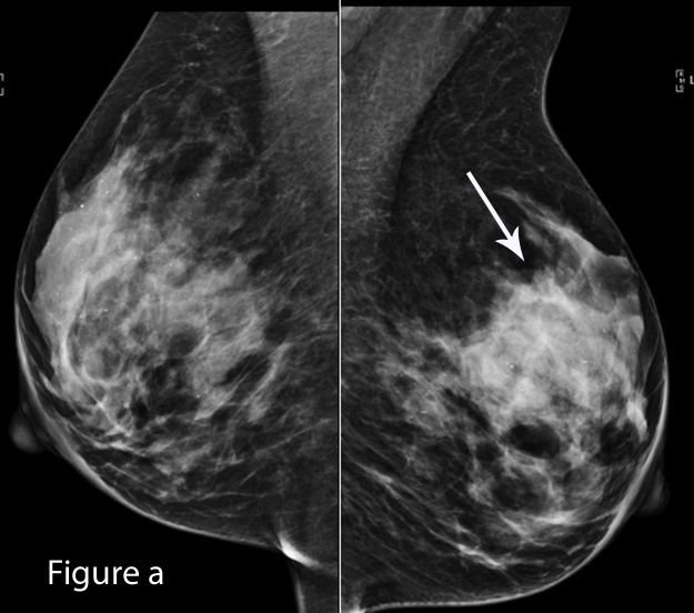
A 50-year-old patient presented for screening mammogram. Extremely dense breast tissue was noted.
On mammography (a-b), a 1-cm spiculated mass (arrow) was identified within the left breast, best demonstrated on the lateral view (c). Ultrasound (d) demonstrated an 8-mm hypoechoic mass in the 10:00 position of the left breast and, in addition, ultrasound identified a 1.1-cm hypoechoic mass at the 1:00 position (e). A needle core biopsy of the 10:00 mass was performed resulting in a diagnosis of invasive ductal carcinoma. The patient was referred for breast magnetic resonance imaging (MRI) for extent of disease evaluation. Breast MRI (f) demonstrated a new enhancing mass in the contralateral breast. MRI of the ipsilateral breast (g) demonstrated two enhancing masses consistent with the two lesions identified on ultrasound. Biopsy of new lesion in the contralateral breast was recommended.
Click on the images to enlarge.

What's your diagnosis?

Stay at the forefront of radiology with the Diagnostic Imaging newsletter, delivering the latest news, clinical insights, and imaging advancements for today’s radiologists.