
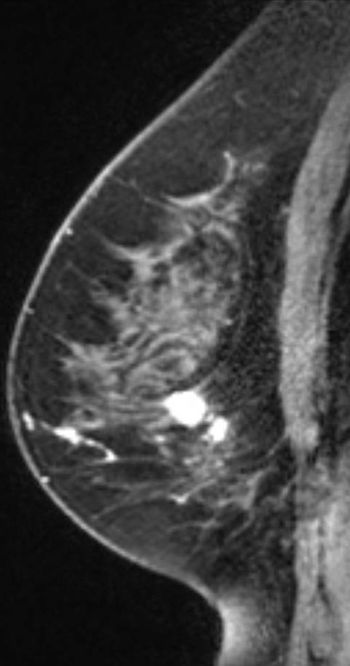
53-year-old BRCA2 positive patient presented for bilateral screening breast MRI.

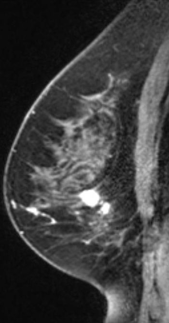
53-year-old BRCA2 positive patient presented for bilateral screening breast MRI.

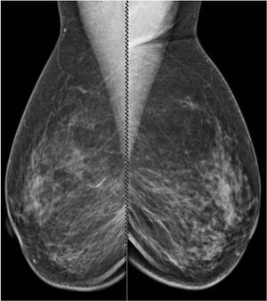
49-year-old patient presented for bilateral screening mammogram as well as bilateral screening ultrasound due to dense breast tissue.

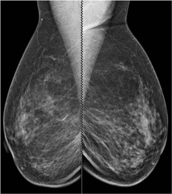
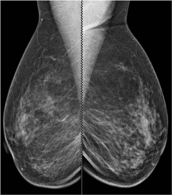
50-year-old patient presented for screening mammogram. Extremely dense breast tissue was noted.

A 30-year-old who has been breastfeeding for three months presents for evaluation of a right breast lump that is nontender and has been present for two weeks.








The newest recommendations issued by the USPSTF resulted in confusion for both physicians and patients. Many experts in the field of breast imaging have come out both in support of and in opposition to the new recommendations.

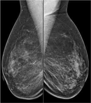
A 46-year-old patient presents for routine screening mammography. Family history of breast cancer consists of a maternal aunt and grandmother.

A 57-year-old patient presents for evaluation of right nipple discomfort. The patient has family history of a mother and sister with premenopausal breast cancer.

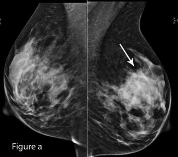
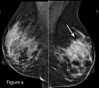
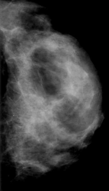
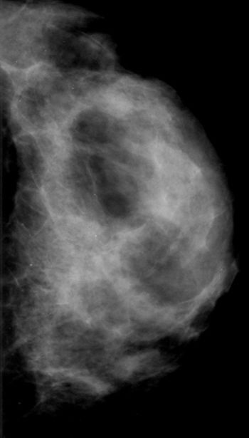
A 46-year-old patient presented for a second opinion on a mass found within the right breast on a prior outside mammogram. The patient denies any lumps or pain within either breast.

A 54-year-old patient presented for evaluation of spontaneous left breast discharge. The patient is status post-right mastectomy with TRAM reconstruction in 1999. The patient states she has noted left breast discharge for quite some time.

As imaging centers convert their workflow to capitalize on the benefits of digital mammography, some radiologists are concerned about the possibility of an increase in the number of patients recalled. Discrepancies between prior screen-film exams and current digital images lead many radiologists to act "better safe than sorry" in their diagnostic interpretation of full-field digital mammography images.

Reference to need for additional imaging in both category 0 and category 3 definitions can confuse patients and providers

The Elizabeth Wende Breast Clinic in Rochester, NY, has used computer-aided detection for seven years. While CAD's value in the screen-film arena is well documented, its implementation can be challenging, and further research still needs to be performed in the digital world.

Published: November 12th 2010 | Updated:

Published: April 24th 2011 | Updated:

Published: May 22nd 2011 | Updated:

Published: May 1st 2007 | Updated:

Published: April 1st 2008 | Updated:

Published: August 1st 2011 | Updated: