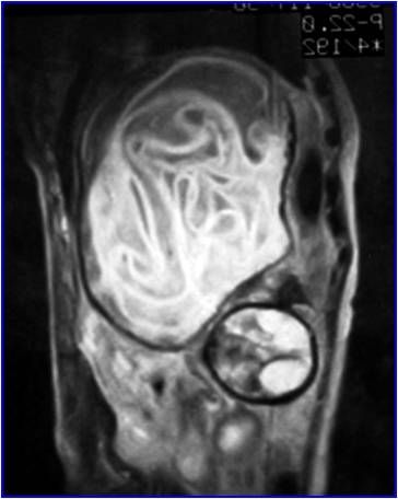
Can you diagnose this mostly asymptomatic patient but with weight loss and abdominal discomfort?

Case submitted by Saeed Rad, M.D., radiologist, to radRounds Radiology Network.
For more coverage based on industry expert insights and research, subscribe to the Diagnostic Imaging e-Newsletter here.
What is your diagnosis?
Stay at the forefront of radiology with the Diagnostic Imaging newsletter, delivering the latest news, clinical insights, and imaging advancements for today’s radiologists.