
Review the case study and test your knowledge to make the correct diagnosis.

Review the case study and test your knowledge to make the correct diagnosis.

Review the case study and test your knowledge to make the correct diagnosis.

Review the case study and test your knowledge to make the correct diagnosis.

Review the case study and test your knowledge to make the correct diagnosis.

Review the case study and test your knowledge to make the correct diagnosis.

Review the case study and test your knowledge to make the correct diagnosis.

Review the case study and test your knowledge to make the correct diagnosis.

Review the case study and test your knowledge to make the correct diagnosis.

What is the diagnosis?

What radiographic sequela do you see on this knee x-ray?

What is the diagnosis seen here?

What is the diagnosis in this patient with melena?

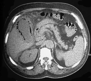
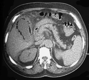
What is the diagnosis in this patient with weight loss?

What do you see on this bowel X-ray?

Patient presents for upper GI series with this finding... What is your diagnosis?

What is causing this appearance on small bowel GI series follow-through?

What is causing this appearance on this barium study?

What foreign body did the patient ingest?

What is your diagnosis in this patient with long standing excessive alcohol intake and difficulty swallowing?

Can you diagnose this mostly asymptomatic patient but with weight loss and abdominal discomfort?

Can you diagnose this patient with unexplained weight loss?

Can you diagnose this patient with a deformed chest wall and chronic history of gradual shortness of breath?

Can you diagnose this patient with pain and sepsis?

Can you diagnose this patient with bloody stool?

Can you diagnose this patient?

Patient presents with colocolic intussusception -- what is the next step?

Published: June 1st 2021 | Updated:

Published: February 18th 2021 | Updated:

Published: April 4th 2023 | Updated:

Published: July 29th 2021 | Updated:

Published: January 26th 2021 | Updated:

Published: February 4th 2021 | Updated: