
|Articles|March 10, 2021
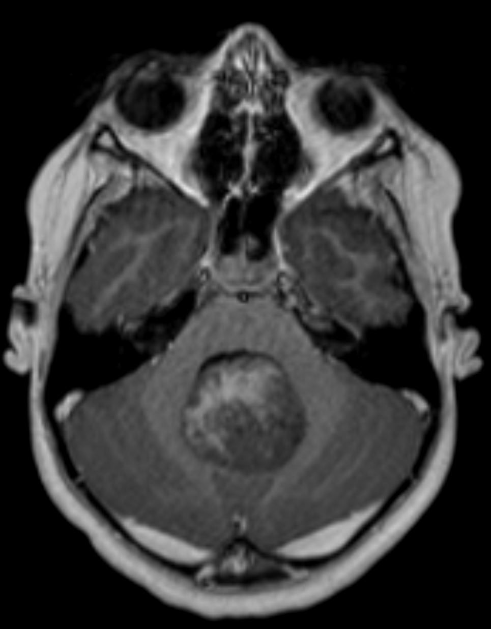
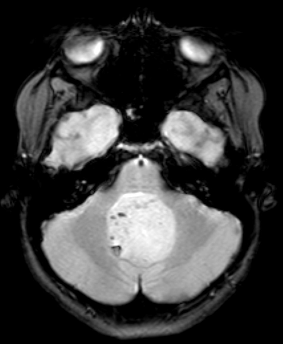
Image IQ Quiz: Pediatric Patient Presents with Double Vision
Author(s)Lawson A. Jackson, M.D.
Pediatric patient presents with double vision. What is the most likely diagnosis?
Advertisement
Case submitted by
For more coverage based on industry expert insights and research, subscribe to the Diagnostic Imaging e-Newsletter
What is your diagnosis?
Newsletter
Stay at the forefront of radiology with the Diagnostic Imaging newsletter, delivering the latest news, clinical insights, and imaging advancements for today’s radiologists.
Advertisement
Advertisement
Advertisement
Trending on Diagnostic Imaging
1
Can AI Assessment of Non-Calcified Plaque Volume Enhance CT Assessment of MACE Risk Beyond CAC Scoring?
2
Emerging Advances in Radiology Presented at the RSNA Conference
3
Study Looks at Combining PCCT and Lung Texture Analysis for Evaluating ILD in Patients with Systemic Sclerosis
4
Should PSMA PET/CT Supplant MRI For Staging of Patients with High-Risk PCa?
5




























