News
All NewsBlogs
Media
Around the Practice Between the LinesImage IQMedical World NewsPodcastsRad-ViewVideos
Conferences
Conference CoverageConference Listing
DI Executive
More
Resources
CME/CEE-booksEducationInteractive Tool KitsPartnersSponsored

Subscribe

  • News
  • Media
  • Conferences
  • DI Executive
  • Resources
  • Subscribe
  • AI
    • Technology
  • CT
    • Neurology CT
    • Cardiac CT
    • Women's Health CT
    • Oncology CT
  • Facility Management
    • Technology
  • MRI
    • Neurology MRI
    • Oncology MRI
    • Women's Health MRI
    • Cardiac MRI
  • Mammography
  • Molecular Imaging
  • Ultrasound
    • Women's Health Ultrasound
    • Oncology Ultrasound
    • Cardiac Ultrasound
  • X-Ray
    • Orthopedic X-Ray
Spotlight -
RSNA|
Disease Spotlight: Prostate Cancer|
Rad-View: Generic Contrast Agents |
Rad View: PSMA PET Imaging Recommendations|
Unlock AI-Powered Imaging|
Image IQ Quiz
Advertisement

Lawson A. Jackson, M.D.

Advertisement

Articles by Lawson A. Jackson, M.D.

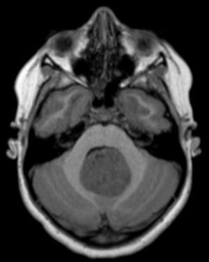
Image IQ Quiz: Pediatric Patient Presents with Double Vision

ByLawson A. Jackson, M.D.
March 10th 2021

Pediatric patient presents with double vision. What is the most likely diagnosis?

Advertisement

Latest Updated Articles

  • Image IQ Quiz: Pediatric Patient Presents with Double Vision
    Image IQ Quiz: Pediatric Patient Presents with Double Vision

    Published: March 10th 2021 | Updated:



Advertisement
Advertisement

Trending on Diagnostic Imaging

1

Study Assesses Clinical, PET and CT Findings for Lymph Node Metastasis Prediction in Lung Cancer Patients

2

Can an Integrated Approach with PSMA PET/CT and Prostate MRI Enhance Detection of Extraprostatic Extension?

3

Diagnostic Imaging's Weekly Scan: December 14 — December 20

4

What New MRI Research Reveals About Gender Differences with Knee Injuries

5

The Benefits and Challenges of Incorporating Advanced Practice Providers into Radiology

  • Advertise
  • About
  • Contact Us
  • Editorial
  • Editorial Board
  • Do Not Sell My Personal Information
  • Privacy
  • Terms and Conditions
Contact Info

259 Prospect Plains Rd, Bldg H
Cranbury, NJ 08512

609-716-7777

Brand Logo

© 2025 MJH Life Sciences®

All rights reserved.

Home
About Us
News
Contact Us