
|Slideshows|May 4, 2021
Image IQ Quiz: What's Related to this Spinal Injury?
Author(s)Joseph Jordan Emerson, M.D.
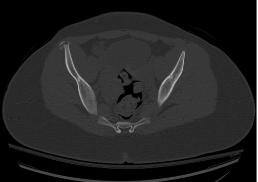
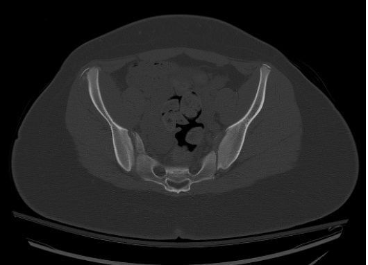
What injury could be related to this anterior superior iliac spine avulsion injury? What's your diagnosis?
Advertisement
Case submitted by
For more coverage based on industry expert insights and research, subscribe to the Diagnostic Imaging e-Newsletter
What is your diagnosis?
Newsletter
Stay at the forefront of radiology with the Diagnostic Imaging newsletter, delivering the latest news, clinical insights, and imaging advancements for today’s radiologists.
Advertisement
Advertisement
Advertisement
Trending on Diagnostic Imaging
1
RSNA: Ultrasound Study Reveals Vascular Complications Associated with Cosmetic Fillers
2
The Potential of Mammography Image-Based AI Models for Assessing Risk: An Interview with Constance Lehman, MD
3
DeepHealth Unveils AI-Powered Breast Suite Mammography Software
4
RSNA: CCTA Study Reveals Link Between Common Air Pollutants and Coronary Artery Stenosis
5




























