Primary Peritoneal Mesothelioma
A 56-year-old Vietnam veteran man was admitted with a three-day history of worsening abdominal pain progressing into an acute abdomen. He had past medical history of Hepatitis C, diabetes mellitus, high blood pressure and chronic abdominal pain of unknown etiology. There was no gross bowel pathology by upper endoscopy or colonoscopy early the year of admission.
CLINICAL HISTORY:
A 56-year-old Vietnam veteran man was admitted with a three-day history of worsening abdominal pain progressing into an acute abdomen. He had past medical history of Hepatitis C, diabetes mellitus, high blood pressure and chronic abdominal pain of unknown etiology. There was no gross bowel pathology by upper endoscopy or colonoscopy early the year of admission.
He is a former smoker and active drinker with unknown exposure to asbestos. No family history of mesothelioma.
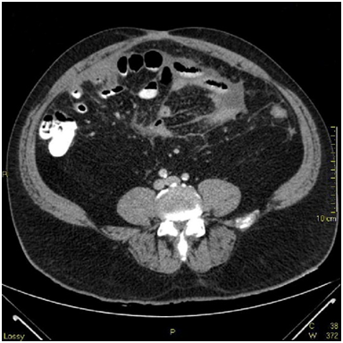
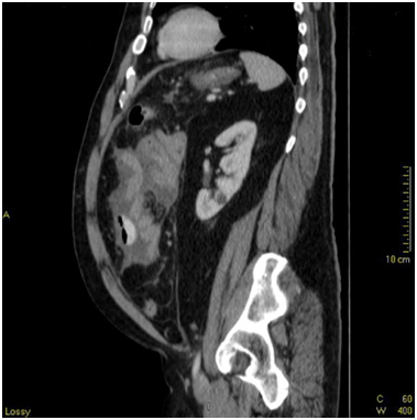
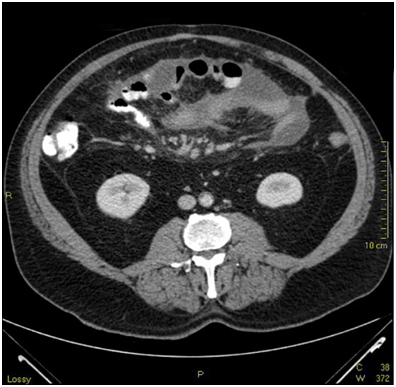
Admission labs showed a slight elevation in alkaline phosphatase, platelets and white blood cell count. There were no other major laboratory abnormalities and/or signs of infection. CT scan showed compartmentalized interloop hypodense fluid collection throughout the mesentery with associated fat stranding and small mesenteric nodules. (Images 1-3) There was encasement of small bowel loops, pleating of the mesentery and contraction of the peritoneal cavity. Mild small bowel dilatation without obstruction also noted.
Clinical examination revealed no signs of chronic liver disease. Diagnostic laparoscopy showed extensive fibrinous material covering small bowel, stomach and extending over colon with abdominal cocooning.
Tissue biopsy was compatible with biphasic malignant mesothelioma.
Patient currently under multidisciplinary discussion and care. Pending chemotherapy with cisplatin and pemetrexed once more stable in view of tumor unresectability.



DISCUSSION:
Primary peritoneal mesothelioma is a rare tumor. Around 500 new cases per year are diagnosed in the United States.1,2 It is associated with industrial chemical components being asbestos the most common agent.3 It has a high mortality rate due to fast spread through peritoneal cavity despite rare metastatic events. Has a prolonged latency period after exposure but presents younger than the pleural subtype explaining why the median age of presentation is around 53 years, in contrast to above 75 years for mesothelioma of the pleura.1,4 Occasionally malignant mesothelioma is seen in young patients with no exposure history.5
Peritoneal mesothelioma is difficult to diagnose due to non-specific signs or symptoms. Common complaints include abdominal distention, ascites, pain, nausea, weight loss and anorexia, however sometimes presenting as acute abdomen or perforation. Fever, leukocytosis and hypoglycemia can also be noted.6
CT scan is the main diagnostic tool with two distinct patterns on cross sectional images: (a) diffuse involvement of the peritoneal cavity and (b) focal intraperitoneal masses. Our patient presented with diffuse involvement of the peritoneal cavity without omental caking or masses. Small bowel encasement with interloop fluid and radial small bowel distribution was noted, as well as "stellate" mesentery due to tumoral infiltration. (Image 1,2,3) Differential diagnosis from imaging standpoint includes peritoneal infections such as tuberculosis, histoplasmosis and peritoneal carcinomatosis.6
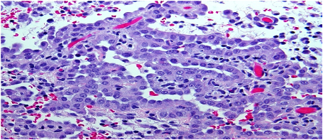
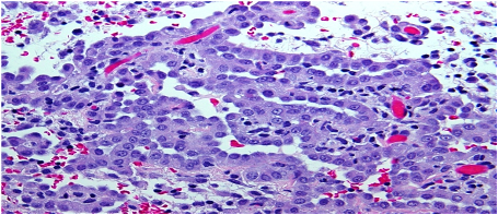
Tissue biopsy is ultimately required for diagnosis.5-7 There are four types of histologic patterns. The epithelioid type described as a tubulopapillary pattern with flattened cells showing monotonous nuclei lining the papilla or tubules. Submesothelial connective tissue, fat, and/or muscle can also be found. Sometimes it is difficult to differentiate from other tumors such as adenocarcinoma on histologic analysis alone.
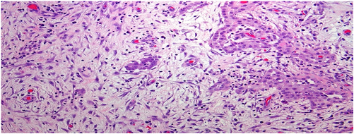
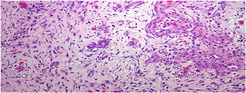
Another pattern is the sarcomatous type, showing tightly packed spindle cells. The biphasic type, described in our patient consists of both epithelioid and sarcomatous components, each histologically present in more than ten percent.(Pictures A-B) Finally; there is a well differentiated type which is more rare.6


Pictures: Microscopic stains reveal a combination of sarcomatoid (a) and epithelioid cells (b) elements in varying proportions.
Therapies are provided based on disease extension and can consist of aggressive cytoreduction surgery combined with intraperitoneal chemotherapy or less invasive systemic chemotherapy for unresectable tumors with pemetrexed and cisplatin as first line.8
REFERENCES:
1. SEER Cancer Statistics Review - Mesothelioma fast stats. http://seer.cancer.gov/faststats/selections.php?series=cancer (Accessed on August 7, 2008).
2. Feldman AL, Libutti SK, Pingpank JF, et al. Analysis of factors associated with outcome in patients with malignant peritoneal mesothelioma undergoing surgical debulking and intraperitoneal chemotherapy. J Clin Oncol 2003; 21:4560.
3. Averbach AM, Sugarbaker PH. Peritoneal mesothelioma: treatment approach based on natural history. Cancer Treat Res 1996; 81:193.
4. Rodríguez D, Cheung MC, Housri N, Koniaris LG. Malignant abdominal mesothelioma: defining the role of surgery. J Surg Oncol 2009; 99:51.
5. Acherman YI, Welch LS, Bromley CM, Sugarbaker PH. Clinical presentation of peritoneal mesothelioma. Tumori 2003; 89:269.
6. Levy AD, Arnáiz J, Shaw JC, Sobin LH. From the archives of the AFIP: primary peritoneal tumors: imaging features with pathologic correlation. Radiographics 2008; 28:583.
7. Plaus WJ. Peritoneal mesothelioma. Arch Surg 1988; 123: 763-6
8. Jänne PA, Wozniak AJ, Belani CP, et al. Open-label study of pemetrexed alone or in combination with cisplatin for the treatment of patients with peritoneal mesothelioma: outcomes of an expanded access program. Clin Lung Cancer 2005; 7:40.
Dr. Ortega is senior fellow at VACHS gastroenterology program. Dr. Toro is the program director of VACHS gastroenterology program. Drs. Blanco and Vega are radiologist staff at VACHS.
Newsletter
Stay at the forefront of radiology with the Diagnostic Imaging newsletter, delivering the latest news, clinical insights, and imaging advancements for today’s radiologists.