
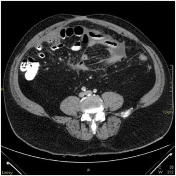
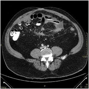
A 56-year-old Vietnam veteran man was admitted with a three-day history of worsening abdominal pain progressing into an acute abdomen. He had past medical history of Hepatitis C, diabetes mellitus, high blood pressure and chronic abdominal pain of unknown etiology. There was no gross bowel pathology by upper endoscopy or colonoscopy early the year of admission.


